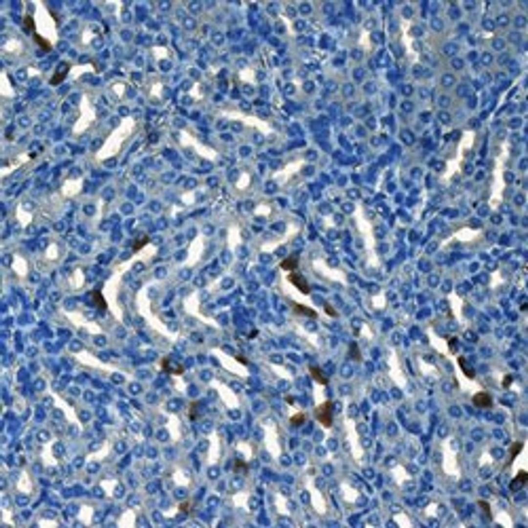
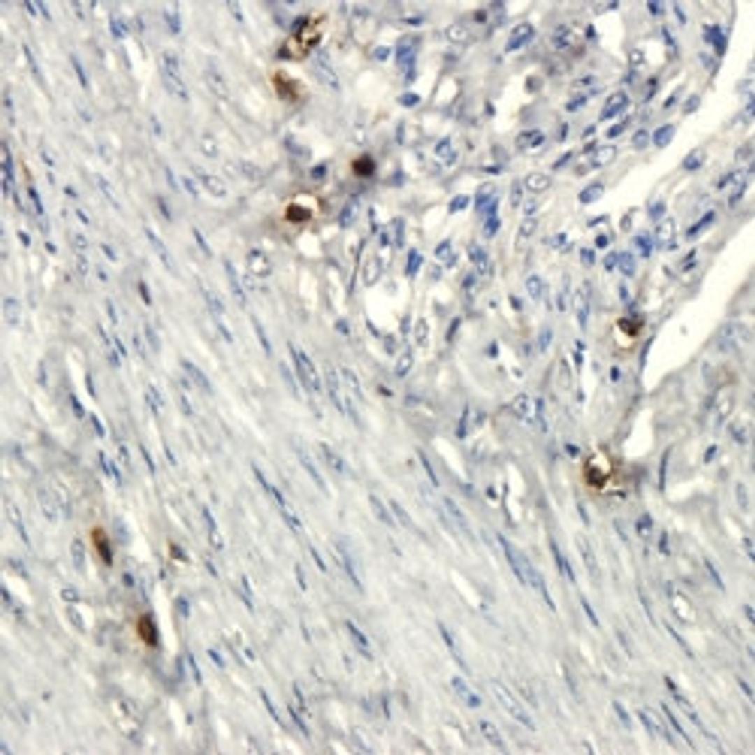
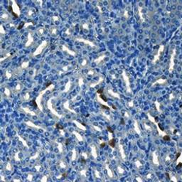
CD133 antibody
Rabbit polyclonal antibody to CD133; which is also known as prominin or AC133. CD133 is a marker frequently found on multipotent progenitor cells; including immature hematopoietic stem and progenitor cells. The protein has been extensively used as a stem cell marker for normal and cancerous tissues.

The supplier does not provide quotations for this product through SelectScience. You can search for similar products in our Product Directory.
Best CD133 antibody on the market.
Analysis of tissues for presence of stem cell popultations
We have used this CD133 antibody for quite some time, as it gives us highly reproducible results and easily identified staining. The concentration ratio allows us to do multiple sets of slides with the same lot and produces pulication quality results every time.
Review Date: 4 Sept 2020 | Biorbyt
Great products. Easy to contact and fast shipping. Customer service is very helpful.
Molecular biology
The product is very effective and I was advised by the lab technician to use this product for its effectiveness.
Review Date: 15 Apr 2019 | Biorbyt
Rabbit polyclonal antibody to CD133; which is also known as prominin or AC133. CD133 is a marker frequently found on multipotent progenitor cells; including immature hematopoietic stem and progenitor cells. The protein has been extensively used as a stem cell marker for normal and cancerous tissues.
- Clonality Polyclonal
- Host Rabbit
- Reactivity Human, Rat
- Conjugate Unconjugated
- Isotype IgG
- Gene 8842
- Quantity 100 µg; 200 µg
- Format NULL
- Storage After reconstitution store at 4°C.for up to two weeks. For long term storage; aliquot and store at -20°C. Avoid freeze/thaw cycles.
- Buffer 10 mM PBS; 0.02% sodium azide; 10 mg/ml BSA
Applications: Immunohistochemistry (Paraffin-Embedded Sections) (IHC (P)), Western Blotting (WB)
The six hallmarks of cancer
In this application note, Biorbyt describes the six hallmarks of cancer from sustained proliferative signaling, evading growth suppressors, and invasion and metastasis to replicative immortality, angiogenesis, and resisting cell death.
Modified antibodies overview
In this application note, Biorbyt highlights the differences between recombinant, therapeutic, bispecific, and labeled antibodies and explains how modified antibodies are produced.
Neurodegenerative diseases overview
A neurodegenerative disease (NDD) is an illness involving the death or disorder of certain parts of the brain and central nervous system (CNS). In this application note, Biorbyt outlines the different types of neurodegenerative diseases and explains the symptoms of each mentioned disease.
Recombinant antibodies: Reliable reagents for your research
In this application note, Biorbyt explains how recombinant antibodies are produced and highlights the advantages and applications of recombinant antibodies, including flow cytometry, drug therapy, structural biology, western blot, immunohistochemistry, immunoprecipitation, immunofluorescence, and immunotherapy.
Stem cell differentiation
Stem cells are undifferentiated, precursory cells that can differentiate into a variety of cells and proliferate indefinitely. In this application note, Biorbyt demonstrates the difference between embryonic stem cell differentiation and adult stem cell differentiation.
Tips for optimizing your immunofluorescence staining
Immunofluorescence (IF) is a powerful tool used to detect and identify the subcellular distribution and movement of proteins and other molecules within cells and tissues. In this application note, Biorbyt discusses when to use IF and outlines the differences between IF, immunohistochemistry (IHC), and immunocytochemistry (ICC).
Antibodies: Chicken Ig why?
In this application note, Biorbyt discusses the similarities and differences between IgG and IgY, including the advantages of using IgY in your research.
Collagen: Strengthening your vital research
Collagen is the most abundant protein in the human body, accounting for nearly a third of protein composition, with at least 16 different isoforms, and can be observed in nearly all tissues. Collagen plays a vital role as a structural protein in connective tissues including tendons, ligaments, and skin. In this application note, Biorbyt describes the structure and function of collagen and outlines the advantages of using collagen proteins, antibodies, and genes in your research.
Coronavirus: A snippet from Biorbyt's infectious disease product range
In this application note, Biorbyt highlights its range of primary antibodies and antigens to coronavirus, validated for use in applications from ELISA and western blot to lateral flow and immuno-precipitation.
Antibody validation
Antibodies are generally raised against either proteins (partial or full length), or a short peptide sequence, specific to their target protein. However, how do you know whether they bind to the target against which they were raised? In this application note, Biorbyt outlines the basic validation steps that should be carried out for your antibodies.
Consistency is key: Developing recombinant antibodies for more reliable COVID-19 research
Discover how Biorbyt used ethical techniques to produce a new line of research tools to meet the challenges of the pandemic
Scientists rate the latest technologies in the field of engineered antibodies
Take a look at what other researchers and scientists are saying about cutting-edge technologies in engineered antibodies
Cancer Pathway Compendium: Downloadable Content for Your Lab
Receive your 4 free cancer pathway posters for MAPK, NF-ƘB, WNT and JAK/STAT, to help you select the best antibodies and small molecules for your cancer research assays





















