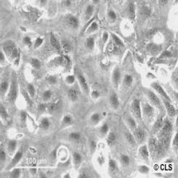
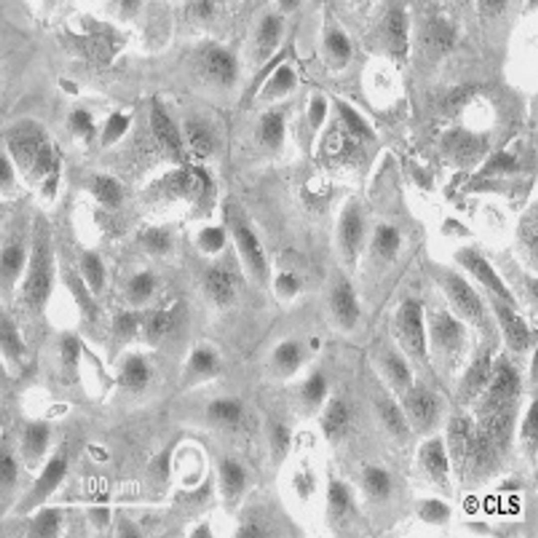
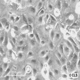
CaCo-2
Human Colon Adenocarcinoma cell line. Frozen cryovial. 2 Mio. cells/ml.

The supplier does not provide quotations for this product through SelectScience. You can search for similar products in our Product Directory.
Organism: Homo sapiens (human)
Ethnicity: Caucasian
Age/Stage: 72 years
Gender: Male
Tissue: Colon
Morphology: Epithelial
Celltype: Colorectal adenocarcinoma
Growth Properties: Monolayer, adherent
Description: This line was isolated from a primary colonic tumor. Upon reaching confluence,
the cells express characteristics of enterocytic differentiation. Caco-2 cells express
retinoic acid binding protein I and retinol binding protein II and are keratin positive.













