c-Myc (EP121)
c-Myc (EP121) Rabbit Monoclonal Primary Antibody
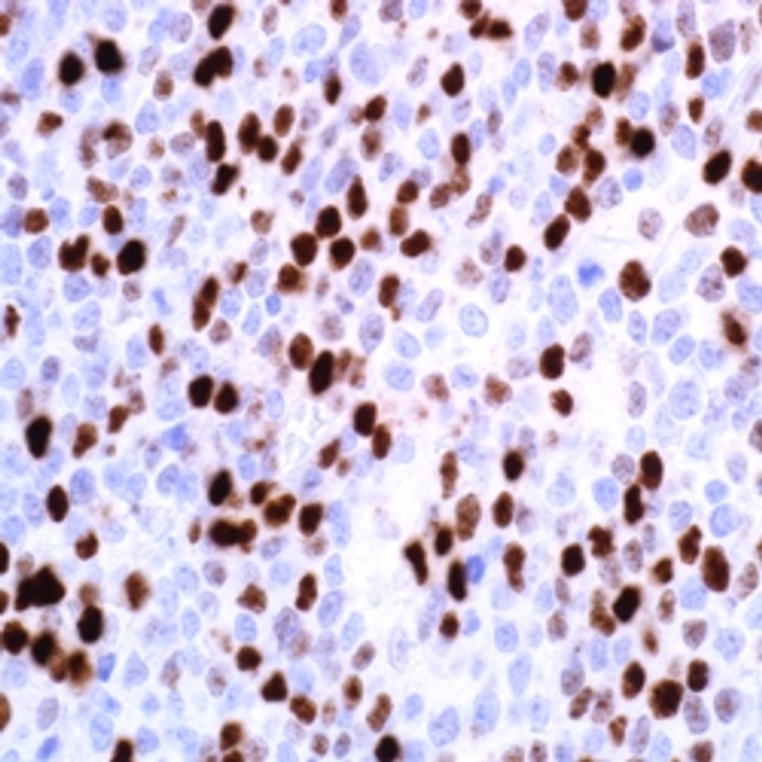
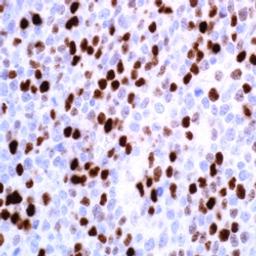
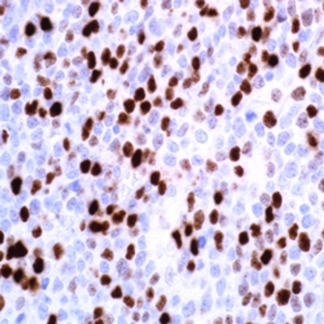
The oncogenic transcription factor, c-MYC, has a crucial role in growth control, differentiation, cellular metabolism and apoptosis and is associated with variety of tumors. c-Myc antibody stains this protein in tissues from colorectal adenocarcinoma, breast invasive ductal carcinoma, prostate adenocarcinoma, Burkitt lymphoma, and diffused large B-cell lymphoma.

















