BaseScope™ Assays
The BaseScope™ Assay is a unique product from ACD, based on the same platform of proven and established RNAscope™ technology that has been cited in over 2300 publications. This powerful assay provides new data dimensions and unique insight into biological mechanisms. The BaseScope™ Assay enables applications such as the detection of exon junctions/splice variants, short/highly homologous RNA sequences (50-300 bases), and poin…

The supplier does not provide quotations for this product through SelectScience. You can search for similar products in our Product Directory.
The BaseScope™ Assay is a unique product from ACD, based on the same platform of proven and established RNAscope technology that has been cited in over 2300 publications. This powerful assay provides new data dimensions and unique insight into biological mechanisms. The BaseScope™ Assay enables applications such as the detection of exon junctions/splice variants, short/highly homologous RNA sequences (50-300 bases), and point mutations at single cell sensitivity. The BaseScope Singleplex asay is also available on automated plaforms.
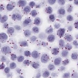
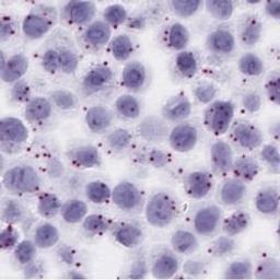
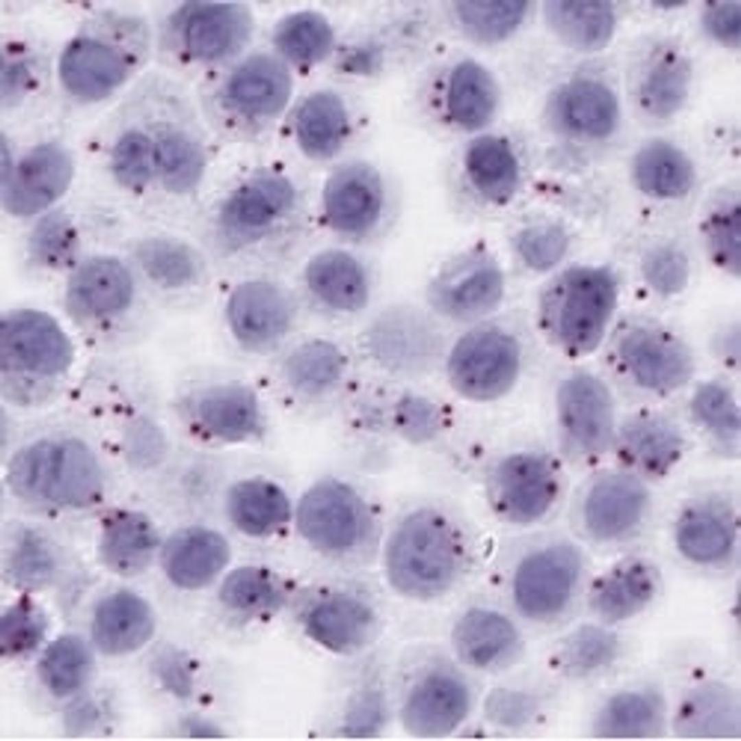
The BaseScope™ Reagent Kit v2-RED, is based on ACD’s patented signal amplification and background suppression technology. The assay uses a novel and proprietary method of in situ hybridization (ISH) to visualize single RNA molecules per cell in a multitude of sample types mounted on slides. The BaseScope™ Assay is used for the detection of short RNA targets (50-300 bases), highly homologous sequences, RNA mutations, and exon junctions for the detection of splice variants, circular RNA, and gene fusion. The BaseScope™ Assays do not require an RNase-free environment that is used for traditional RNA ISH. The BaseScope™ Assay leverages the same platform as proven and established within the RNAscope technology but expands the detection capabilities and throughputness on automated platforms such as Leica Bond RX and Ventana Discovery Ultra.
Brochures
Simultaneous visualization of RNA and protein targets using the new Co-detection Kit
In this product brochure, discover how ACD’s new Co-detection Kits are designed to allow researchers to simultaneously examine cell-type specific gene expression and identify cellular sources of secreted proteins. The new workflow is designed to allow the inclusion of a wider range of antibodies to be combined with RNA ISH enabling researchers to acquire more data and conserve precious samples.
A novel chromogenic in situ hybridization assay
In situ hybridization is the gold standard to localize nucleic acid targets within cells and tissues with spatial information. The RNAscope in situ hybridization technology has been a leader in the field of spatial genomics providing single-molecule detection of RNA at single-cell and subcellular resolution. The technology has evolved to encompass detection of specialized RNA targets such as splice variants, highly-homologous sequences, and point mutations using the BaseScope™ assays, and miRNA, siRNAs, and anti-sense oligo detection using the miRNAscope™ assays.
Visualize gene expression and splice junctions at the single-cell level using the RNAscope and BaseScope in situ hybridization assays
This application note highlights how the BaseScope ISH assay allows for the visualization of splice junctions between adjacent exons and/or retained introns in order to characterize alternative splicing events in cells and tissues.


















