ATRX
ATRX Rabbit Polyclonal Antibody
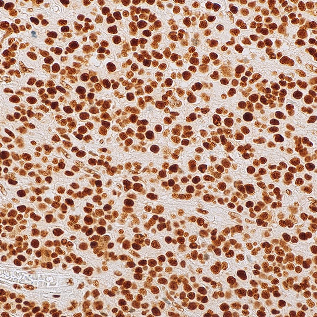
Diffuse gliomas are classified based on histological and molecular features to achieve an integrated diagnosis. Molecular diagnostic markers include IDH mutation, 1p/19q co-deletion, and TP53 mutation. ATRX is a chromatin remodeling protein and its mutation status may be used as a molecular diagnostic marker within the diffuse glioma classification algorithm. Anti-ATRX is used to identify mutant ATRX by a loss of ATRX expression in neoplastic cells when compared with internal positive controls (endothelial cells, glia, and neurons). Grade II/III astrocytoma classification includes IDH mutant, ATRX mutant, and 1p/19q retention, while grade II/III oligodendroglioma includes IDH mutant, ATRX wildtype, and 1p/19q co-deletion; p53 expression may also serve as an aid in diagnosis. ATRX mutation is frequently, but not always, mutually exclusive with 1p/19q co-deletion.
The value of mutation markers for personalized medicine in neuropathology
Discover how MilliporeSigma is expanding its portfolio of antibodies for tissue diagnostics to help better classify gliomas and other tumors of the nervous system


















