Arcturus Cellect Laser Capture Microdissection (LCM) System
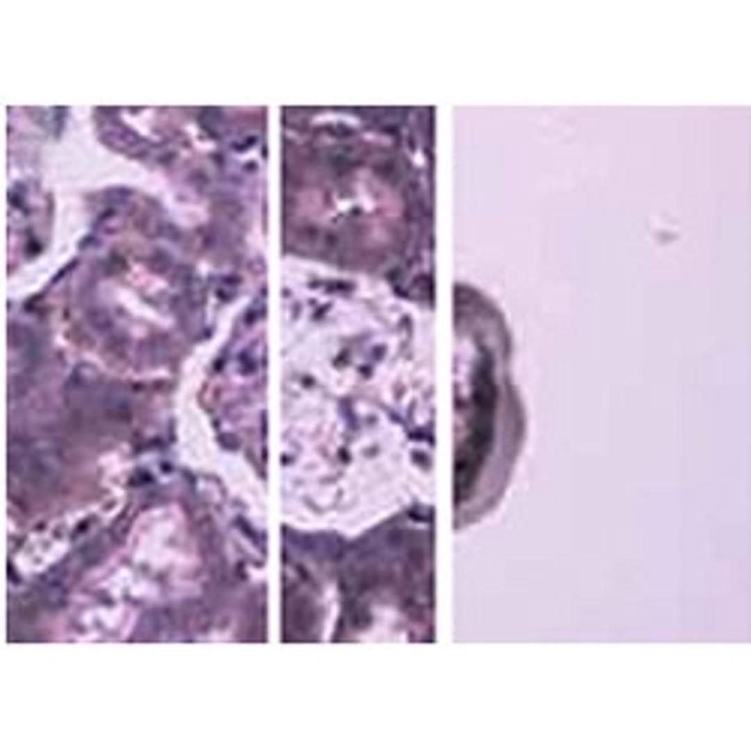
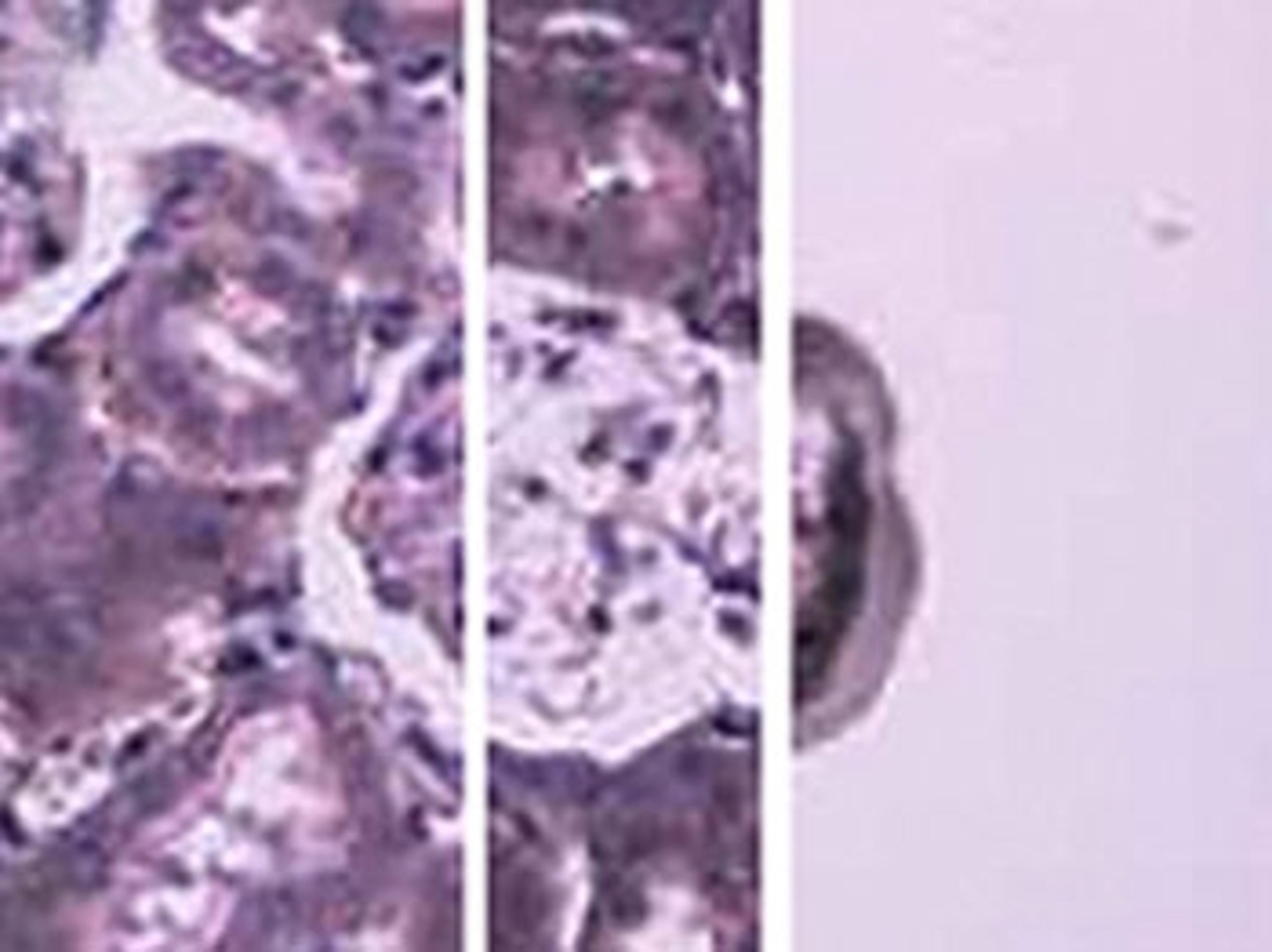
Dual-laser technology lets you take control and precisely capture only the material needed for analysis. Capture only your cells of interest without the worry of contamination or effect on morphology. Infrared (IR) LCM and ultraviolet (UV) laser cutting will be combined in the Arcturus Cellect LCM System. This compete system for microgenomics will include reagents that have been formulated to balance the delicate nature of…

The supplier does not provide quotations for this product through SelectScience. You can search for similar products in our Product Directory.
Dual-laser technology lets you take control and precisely capture only the material needed for analysis. Capture only your cells of interest without the worry of contamination or effect on morphology. Infrared (IR) LCM and ultraviolet (UV) laser cutting will be combined in the Arcturus Cellect LCM System.
This compete system for microgenomics will include reagents that have been formulated to balance the delicate nature of handling very small amounts of nucleic acids and maximizing output from that sample.
Additionally, with complementary technologies for both upstream and downstream processes, Thermo Fisher Scientific workflows offer stability, support, and complete solutions, whether it is tissue processing or data analysis.
Key features:
- Dual laser system—will enable a wide range of applications ranging from single-cell isolation to large biopsy extractions
- Intuitive software—will enable rapid isolation of specific cells in five simple steps and quality control with visual inspection
- Service and support—48-hour response times and user training
- Flexible sample prep—support for a wide range of slide types and sample preparation formats
- Compact design—the footprint is about 32% smaller than the ArcturusXT system
AACR 2019: 7 New Technologies to Combat Cancer
SelectScience reports on the top technologies launched at the American Association for Cancer Research (AACR) annual meeting, in Atlanta, USA
Thermo Fisher Scientific to Introduce New Laser Capture Microdissection (LCM) System at AACR 2019
The Arcturus Cellect Laser Capture Microdissection System features among a host of solutions the company is showcasing at its booth in Atlanta




