Alcian Blue Solution
Histological Staining Solution

The supplier does not provide quotations for this product through SelectScience. You can search for similar products in our Product Directory.
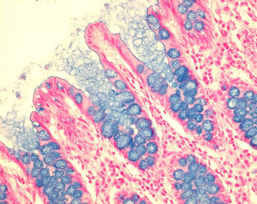
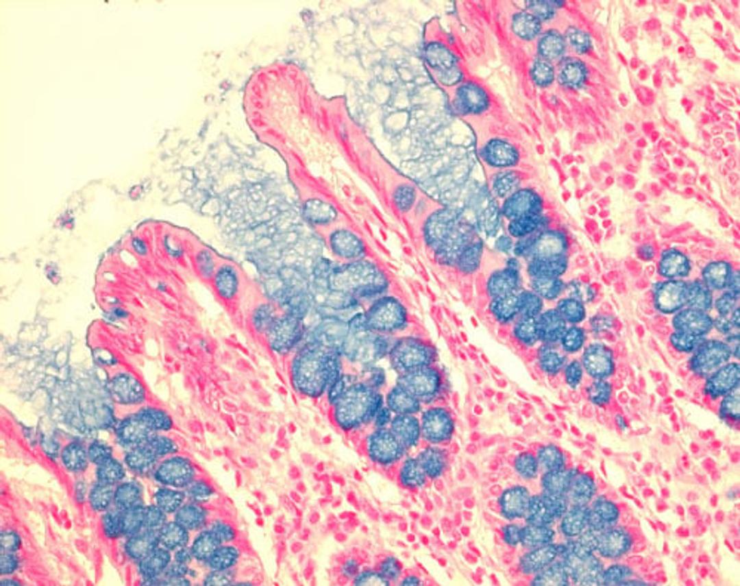
The combination of PAS staining with Alcian blue allows (at pH 2.5) the additional identification of acidic mucosubstances (glycosaminoglycans). PAS staining is used for paraffin sections and cell smears, and upon use of the ready-to-use Alcian blue staining solution, nuclei will appear blue, acidic mucosubstances light blue and polysaccharides as well as neutral mucopolysaccharides will be stained purple. Additionally, the Alcian blue staining solution (at pH 2.5) allows the identification of acidic mucosubstances without differentiation of carboxyl and sulfate groups, upon which the nuclei are counter-stained with nuclear fast red. As an IVD product and CE registered, it can be used hassle-free in diagnostics and laboratory accreditations.
















