Roche launches two digital pathology image analysis algorithms for precision patient diagnosis in breast cancer
11 Jan 2021Product News
Roche has announced the CE-IVD launch of its automated digital pathology algorithms, uPath HER2 (4B5) image analysis and uPath Dual ISH image analysis for breast cancer to help determine the best treatment strategy for each patient. The image analysis algorithms use artificial intelligence to support pathologists in making faster, more accurate patient diagnoses in breast cancer.
A mutation in the HER2 gene, which occurs in as many as 20 percent of the 2.1 million cases of breast cancer diagnosed globally each year, is responsible for aggressive growth in some patients. Identifying this mutation is important in determining which patients may benefit from targeted treatment.
"About 15 to 20 percent of women diagnosed with breast cancer are HER2 positive, which makes fast and accurate diagnosis critical," said Thomas Schinecker, CEO Roche Diagnostics. "Roche is continuing to innovate in HER2 diagnostics by providing precise information through image analysis algorithms for pathology decision support."
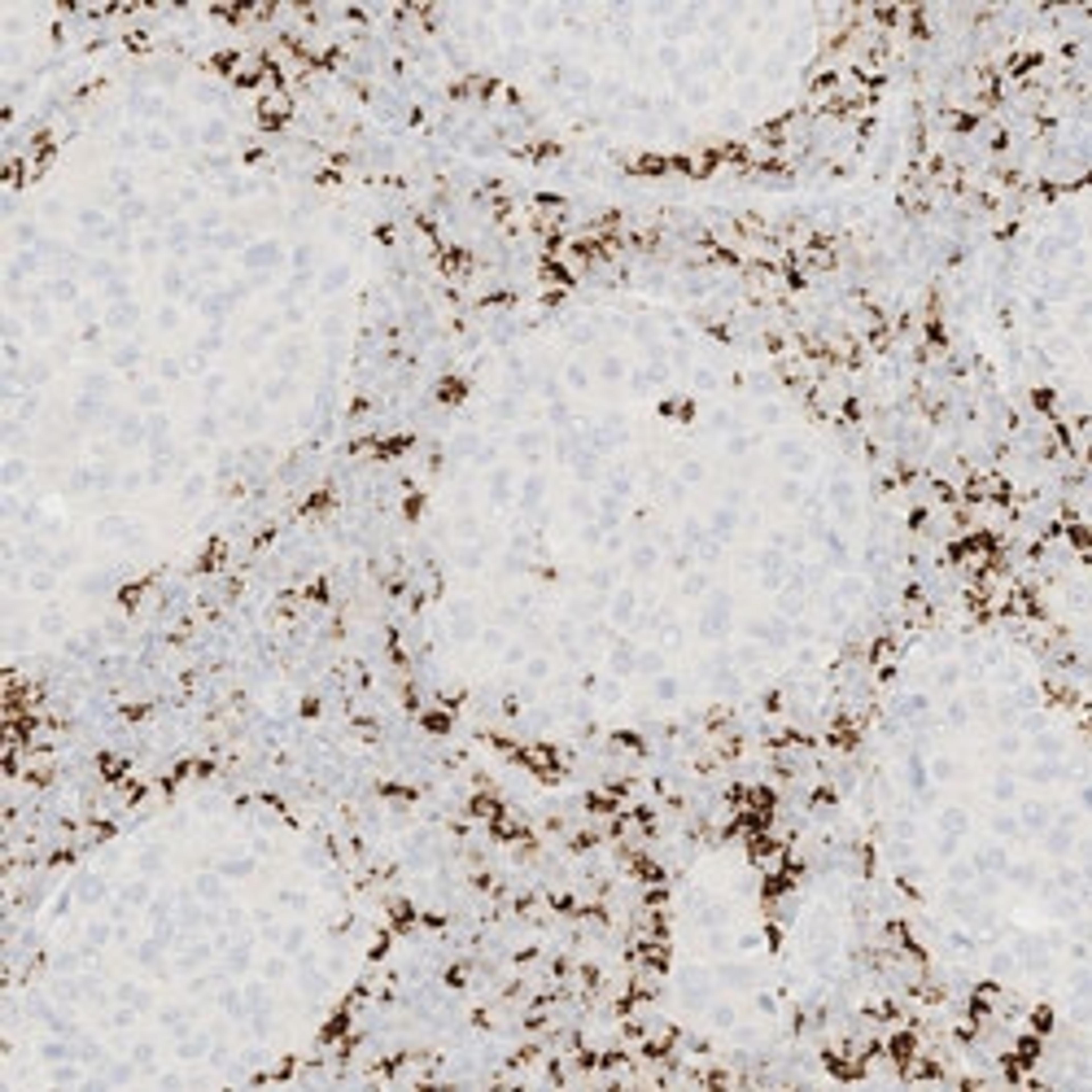
uPath HER2 (4B5) image analysis for breast cancer helps pathologists to quickly determine whether tumors are positive for the HER2 biomarker, highlighting positively stained tumor cell membranes with a clear visual overlay for easy reference. uPath HER2 Dual ISH image analysis for breast cancer assists the pathologist in the determination of HER2 gene amplification. A heatmap is provided to guide pathologists to areas of interest where the algorithm can identify cells to inform the determination of a treatment strategy.
Validated on the VENTANA HER2 (4B5) assay and the VENTANA HER2 Dual ISH DNA Probe Cocktail, the algorithms are ready-to-use and integrated within the Roche uPath enterprise software. The uPath HER2 (4B5) image analysis and uPath HER2 Dual ISH image analysis algorithms for breast cancer expand Roche's digital pathology portfolio to empower precision diagnosis. Roche is continuing to innovate in HER2 diagnostics through image analysis algorithms that provide an actionable assessment of scanned slide images that are objective and reproducible.
Want the latest science news straight to your inbox? Become a SelectScience member for free today>>
