Announcing EZ Image Prep™, Now Even MORE Powerful with NEW Single-step Flatfield Correction
14 Jan 2016
Product News
It’s more common than we suspect, often being ignored or overlooked – shading, uneven illumination, poor white balance and poor exposure in microscope images, that is. Would your images benefit from greater uniformity for evaluation and comparison? Do you want to save time and aggravation with image editing software?

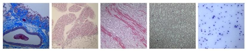
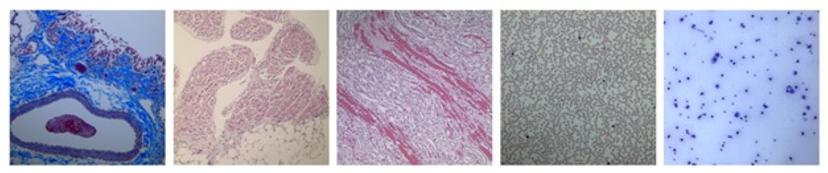
Figure 1. Images illustrating various levels and combinations of uneven illumination, poor white balance and under exposure.
With just one click, you can now correct uneven illumination (shading) in your specimen images, together with automatic white balancing and brightness normalization in a batch process! The results are amazing, and you'll saves hours of time and frustration in image editing software. And unlike color calibration, you don't need a calibration slide!

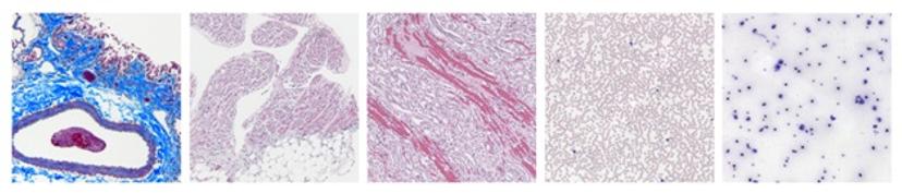
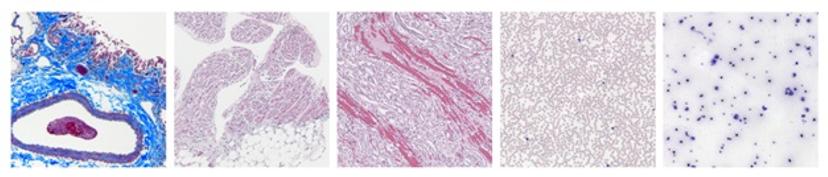
Figure 2. Same images as in Figure 1, corrected for shading, white balanced and brightness-matched using EZ Image Prep.

Within the EZ Image Prep window, simply choose the folder that contains the TIFF and JPEG images for processing, and choose where you want the processed images to be saved. If you would like to flatfield-correct the images, you would then choose the background image to be applied to the images in the source folder. Click “Process Images” and EZ Image Prep takes care of the rest.
EZ Image Prep is an included feature in the Datacolor CHROMACAL Image Solutions software, and now you can get EZ Image Prep SEPARATELY for only $349 USD! Once you use it, you'll agree that there is no easier nor more powerful tool than CHROMACAL Image Solutions to objectively correct your images.
Check out EZ Image Prep for yourself here.