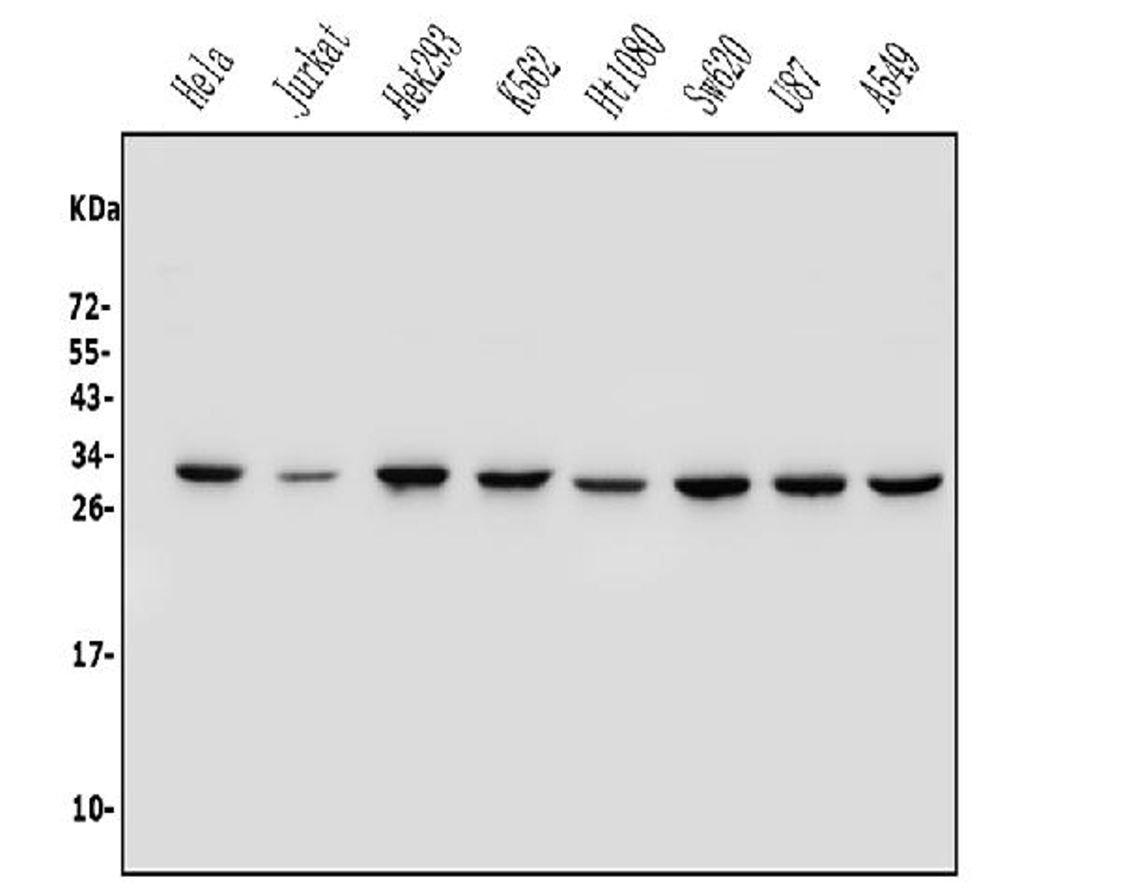
Anti-REA/PHB2 Antibody Picoband™ (monoclonal, 2B5)ManufacturerBoster BioCatalog NumberM03315HostMouse