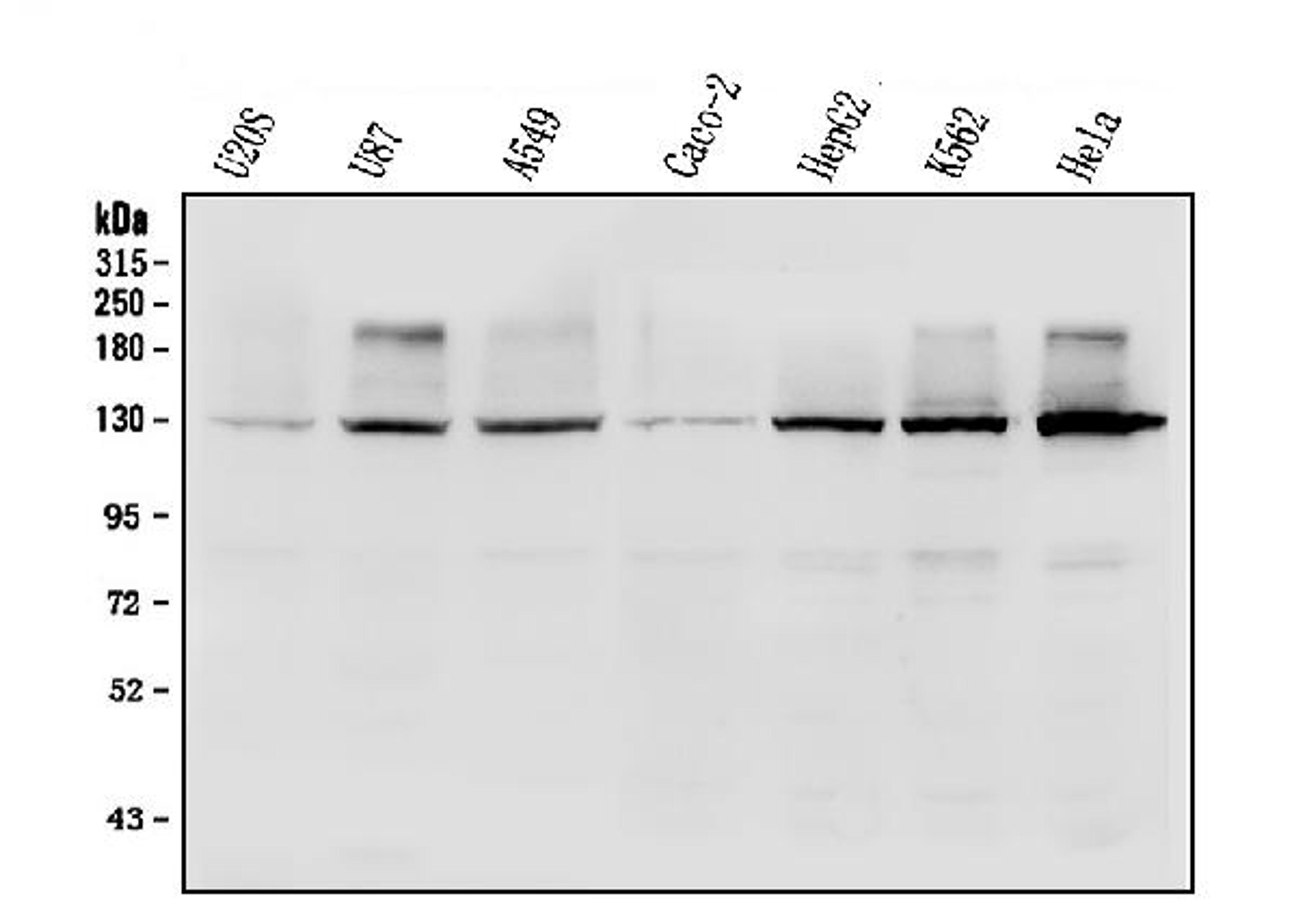
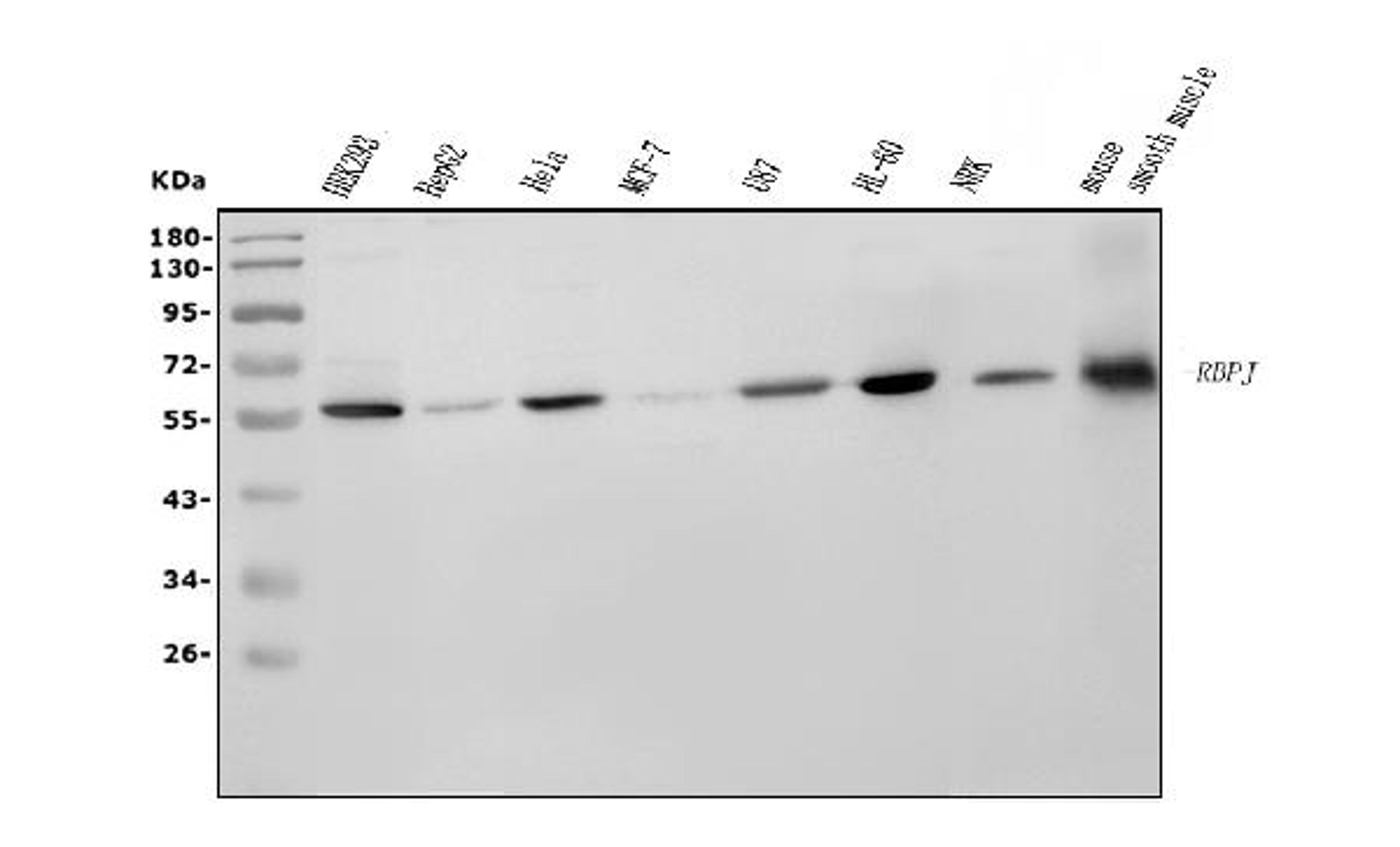
Anti-RBPJK/RBPJ Picoband™ Antibody (monoclonal, 6G4)ManufacturerBoster BioCatalog NumberM00767-1HostMouse
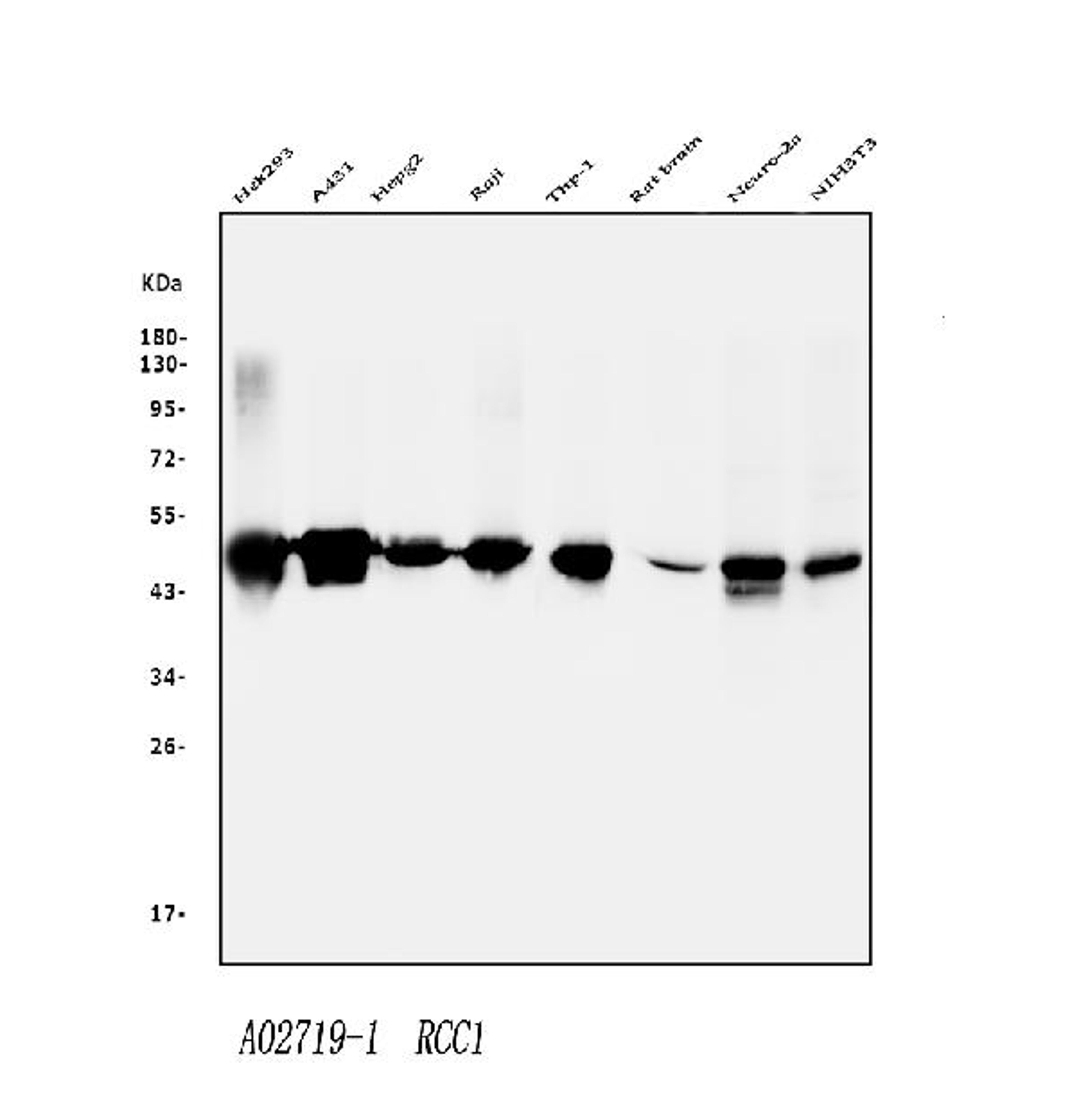
Anti-RCC1 Antibody Picoband™ (monoclonal, 6B11E7)ManufacturerBoster BioCatalog NumberM02719-2HostMouse
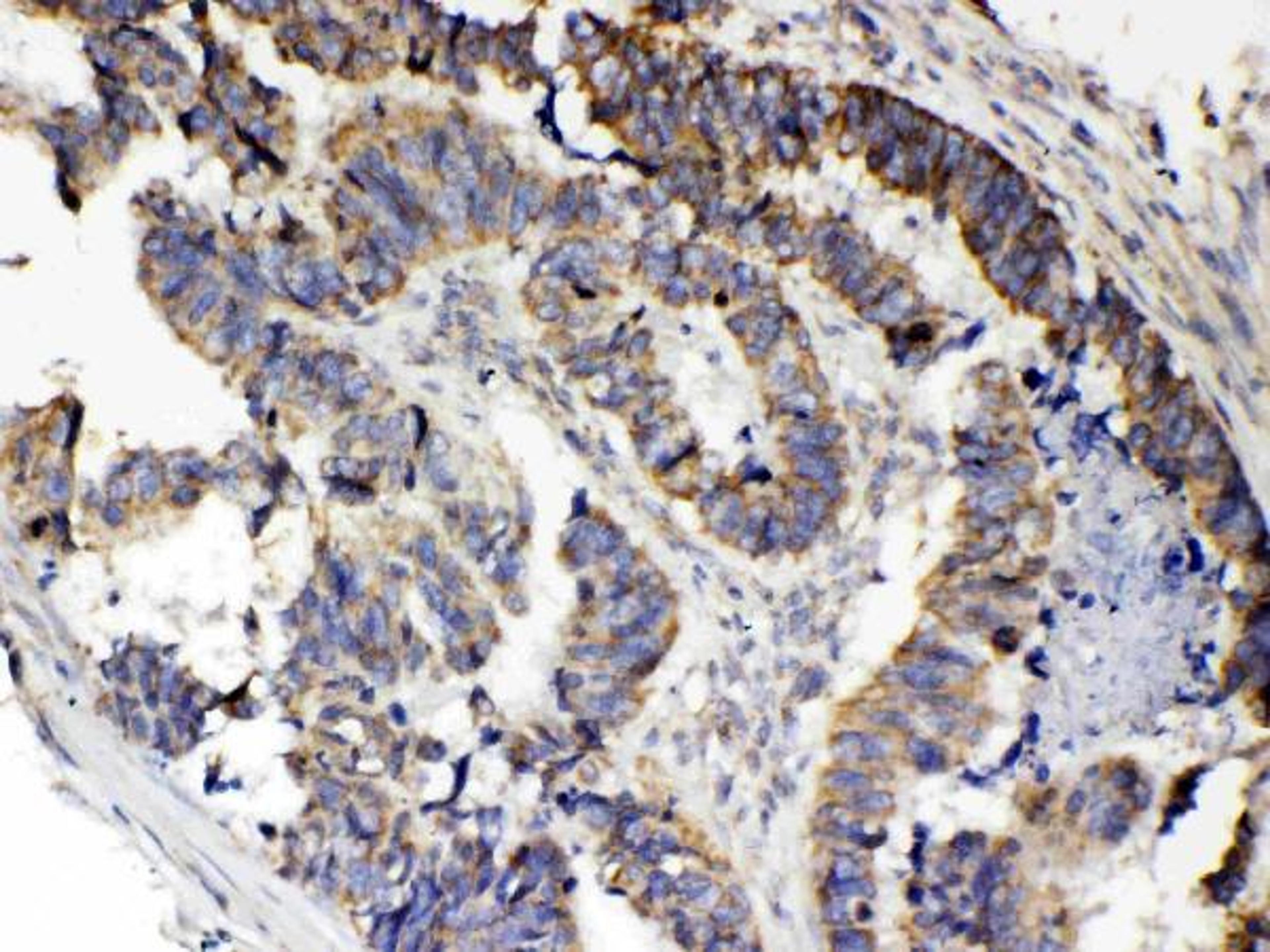
Anti-RCC1 Antibody Picoband™ (monoclonal, 7B5D2)ManufacturerBoster BioCatalog NumberM02719-1HostMouse