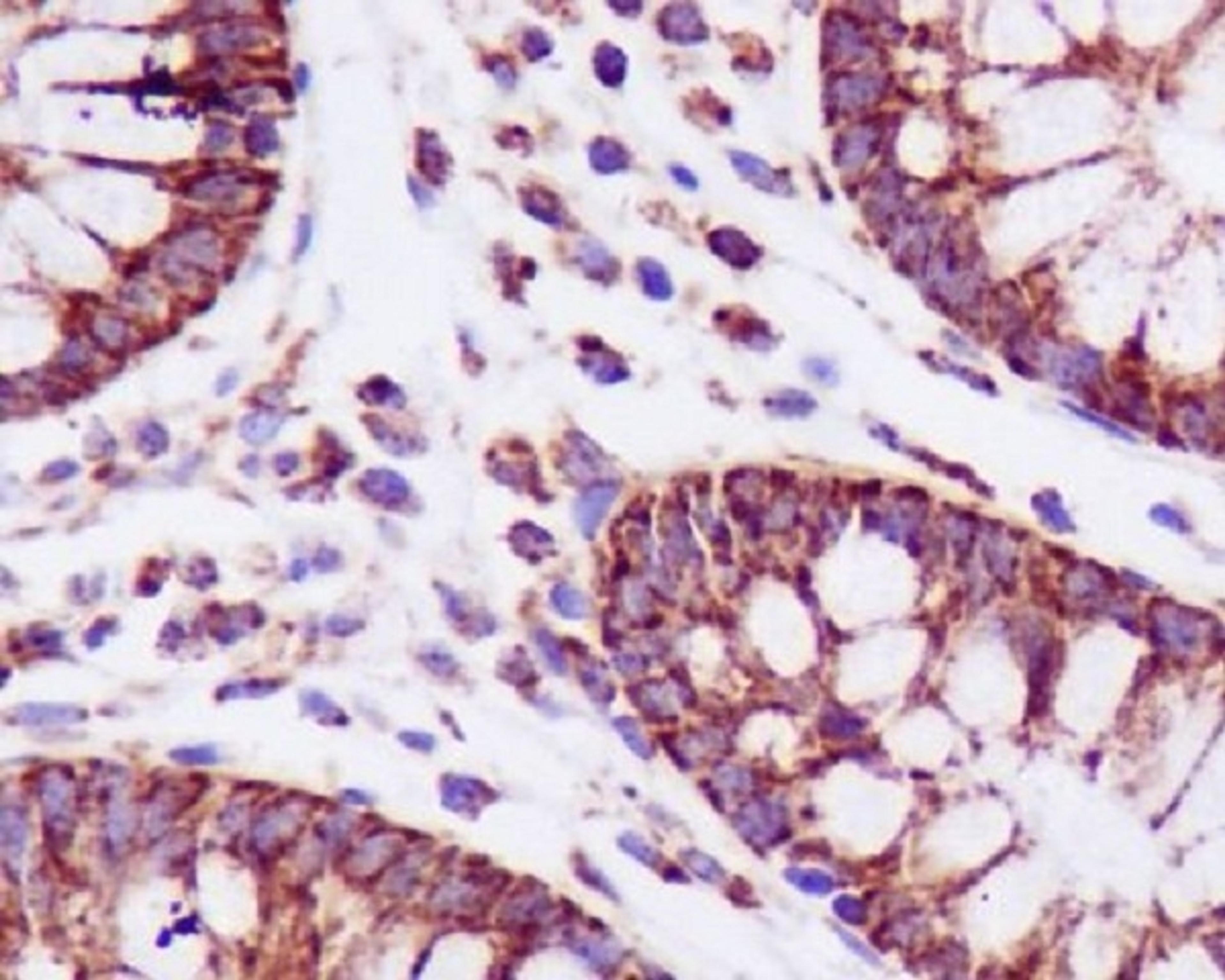
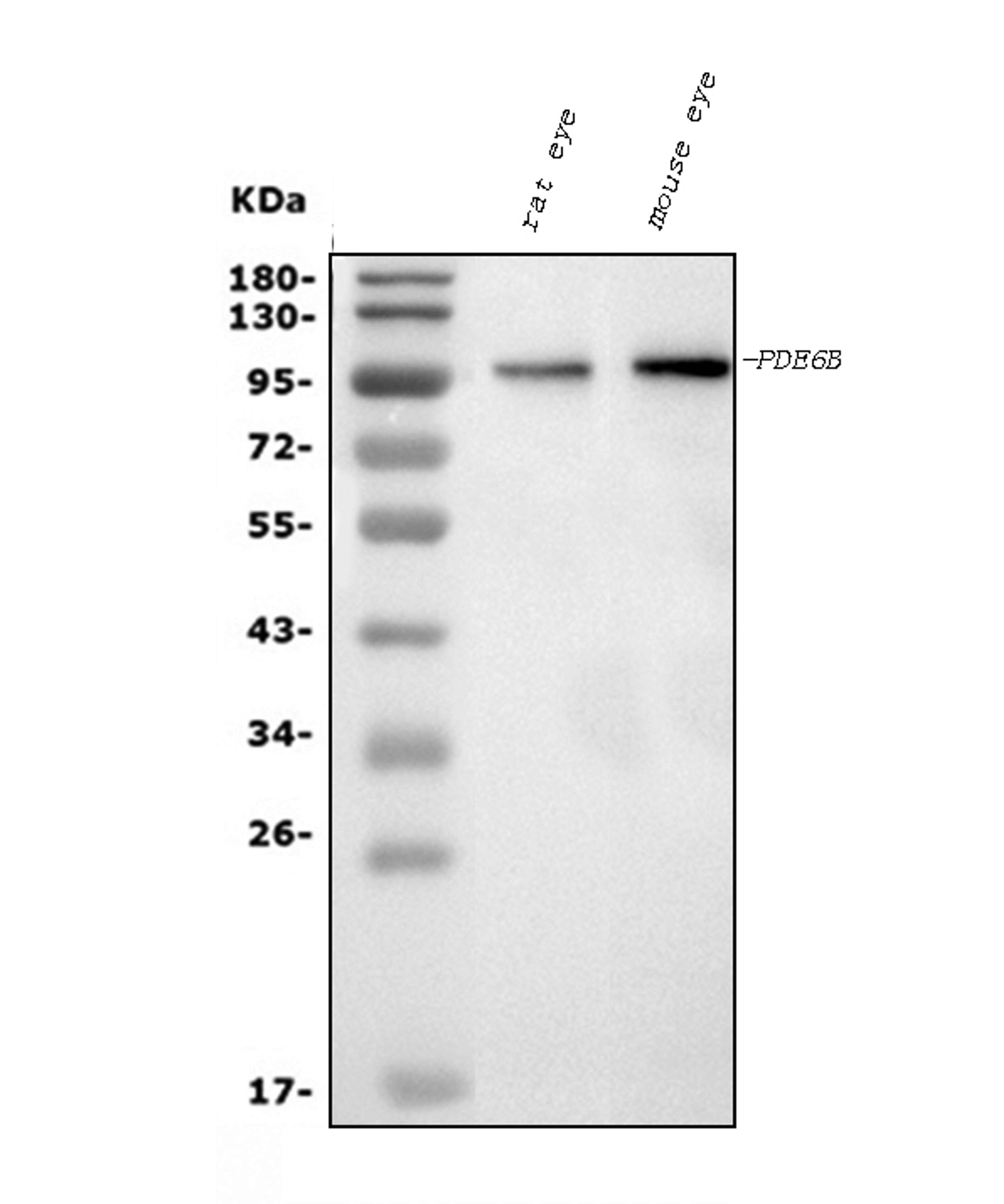
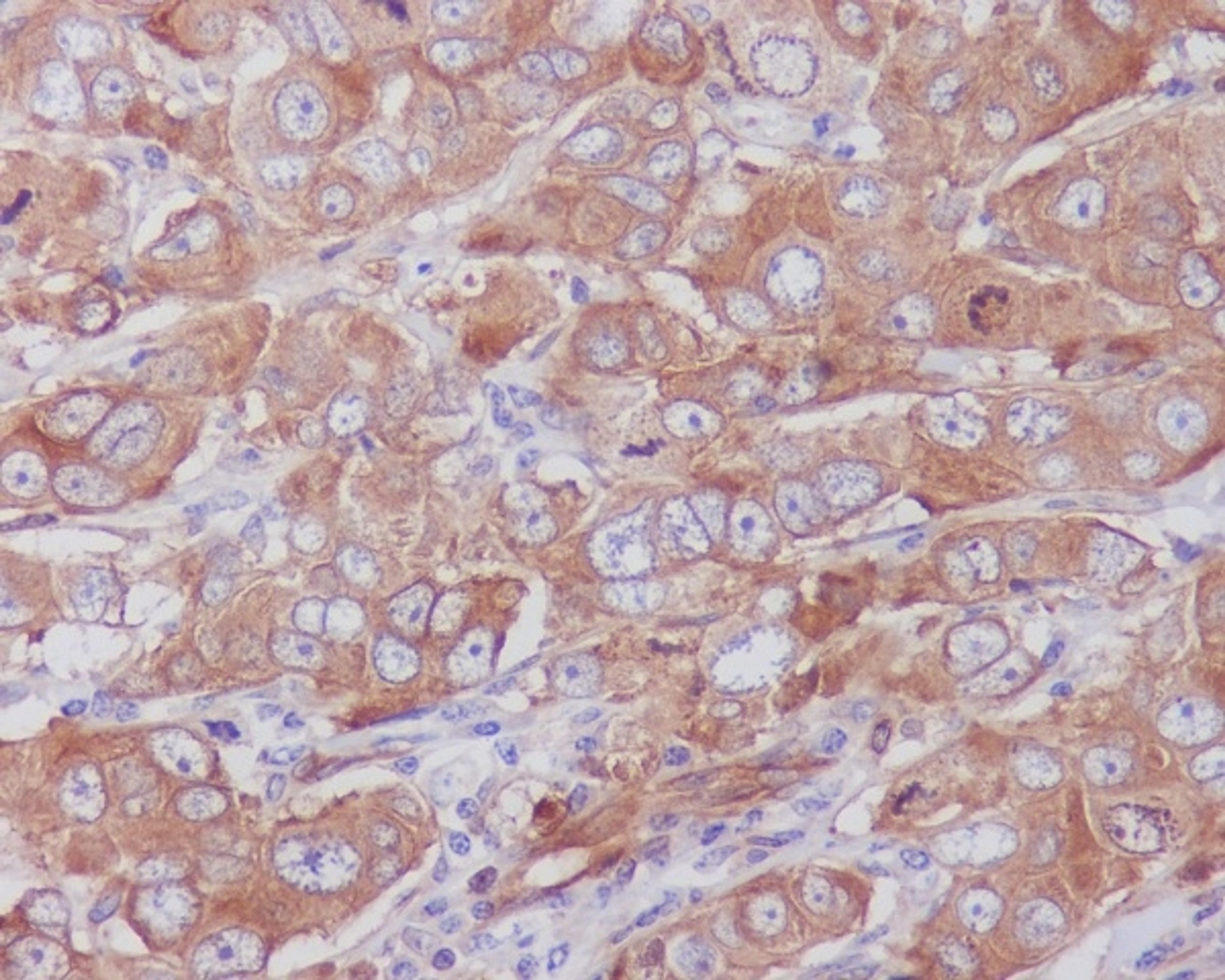
Anti-PDE6 beta/PDE6B Antibody Picoband™ (monoclonal, 8I2D7)ManufacturerBoster BioCatalog NumberM02659-1HostMouse
Anti-PDE6 beta/PDE6B Antibody Picoband™ (monoclonal, 8I2F10)ManufacturerBoster BioCatalog NumberM02659HostMouse