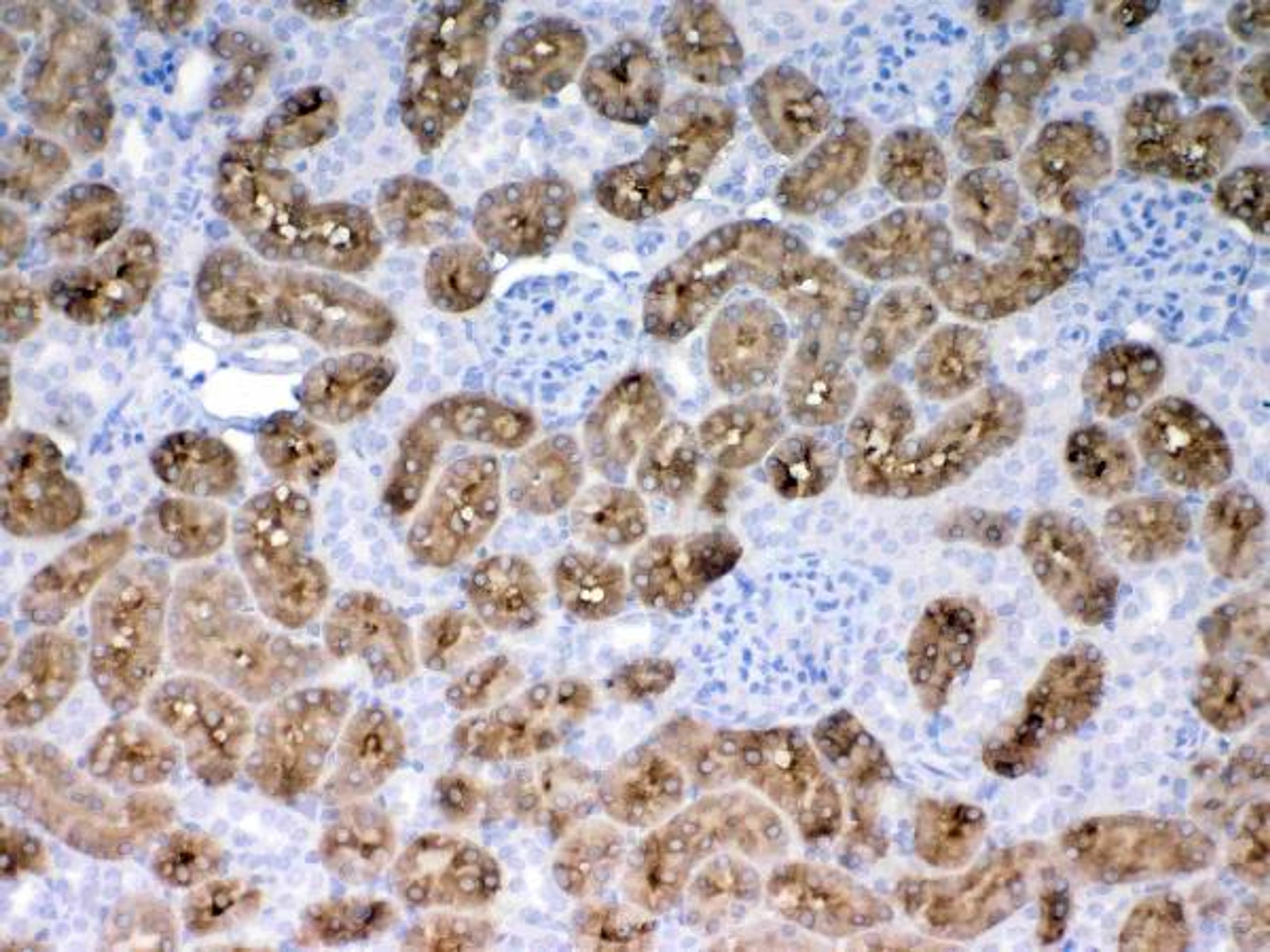
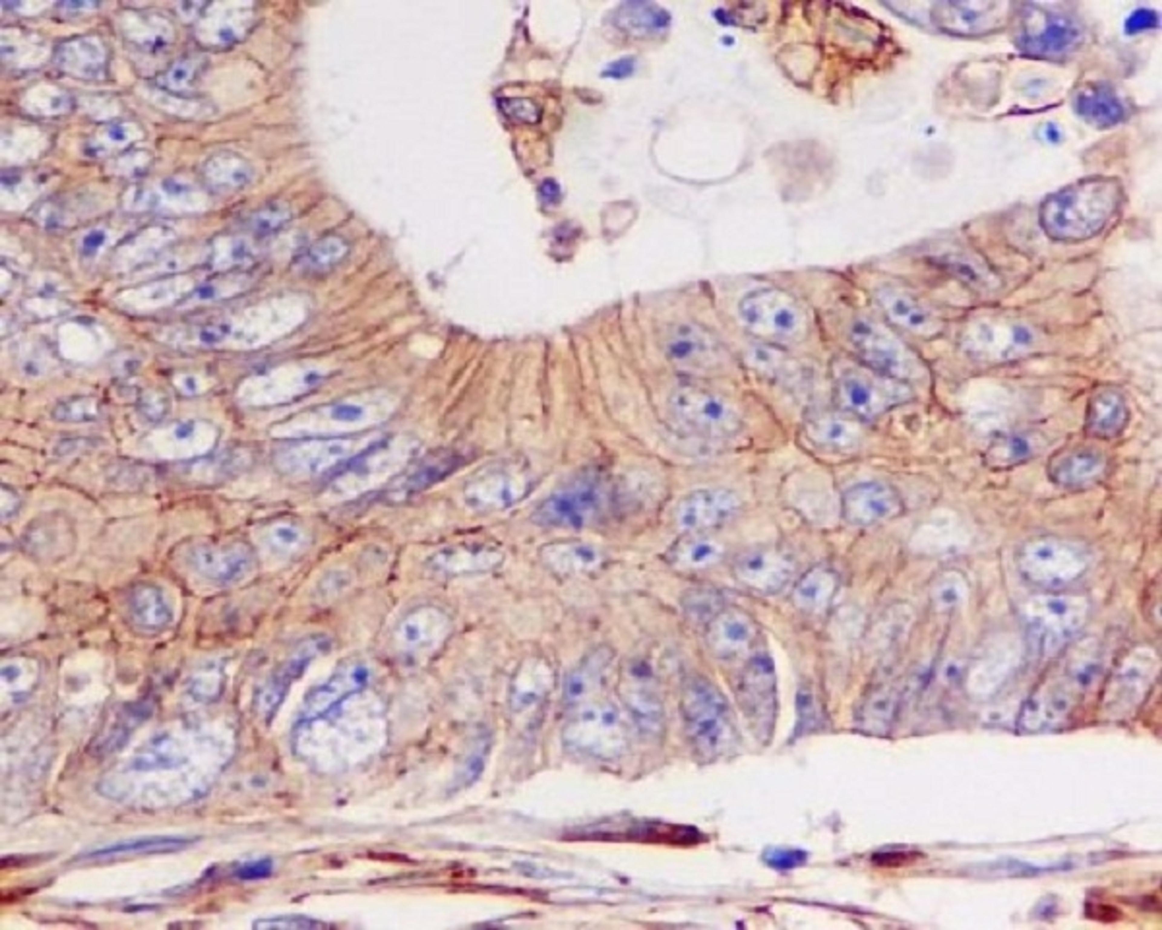
Anti-pan Cadherin 1 CDH1 Rabbit Monoclonal AntibodyManufacturerBoster BioCatalog NumberM00063-1HostRabbit