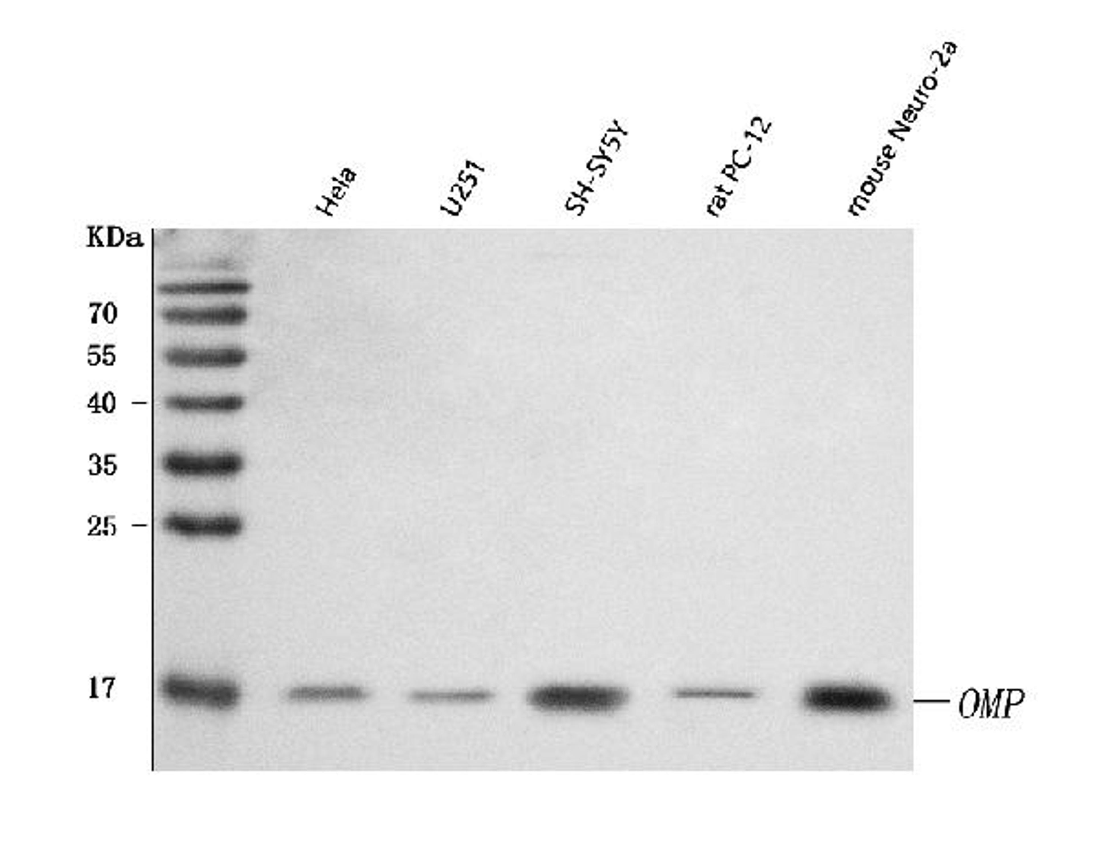
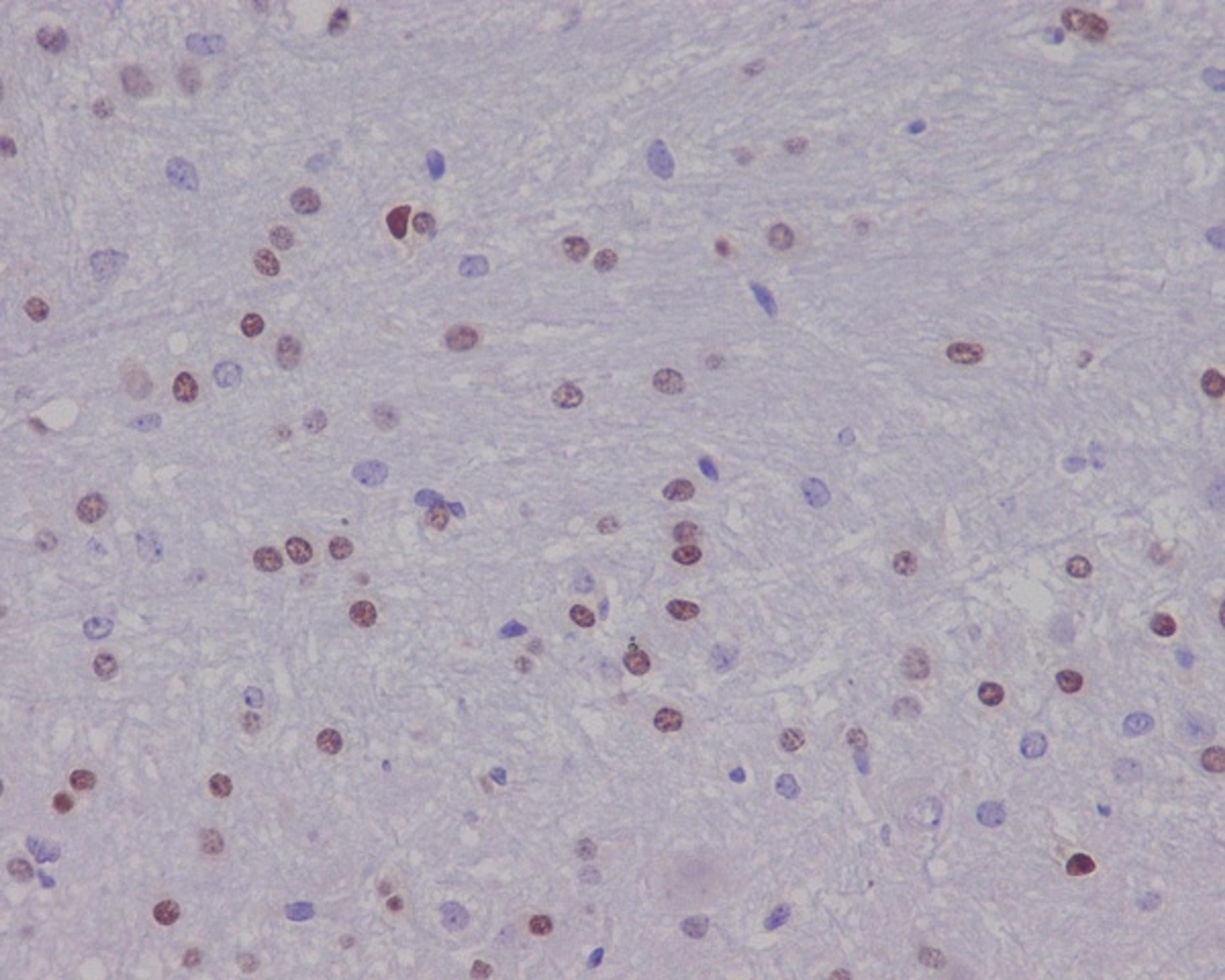
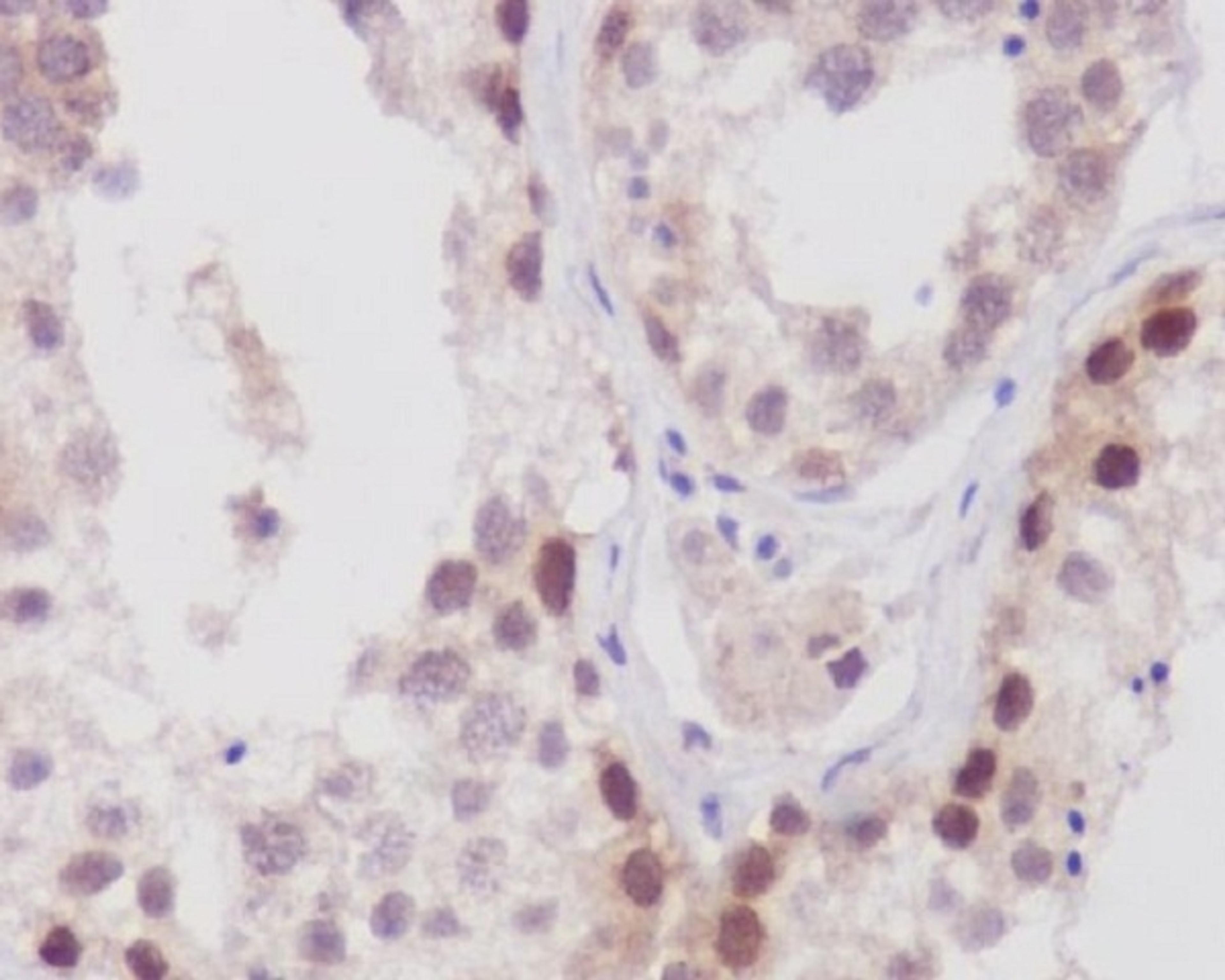
Anti-Oligodendrocyte myelin glycoprotein/OMG Antibody Picoband™ManufacturerBoster BioCatalog NumberPB9730HostRabbit