Anti-Myosin heavy chain MYH6 Rabbit Monoclonal AntibodyManufacturerBoster BioCatalog NumberM02808HostRabbit
Anti-Myosin Light Chain 2 Rabbit Monoclonal AntibodyManufacturerBoster BioCatalog NumberM03215HostRabbit
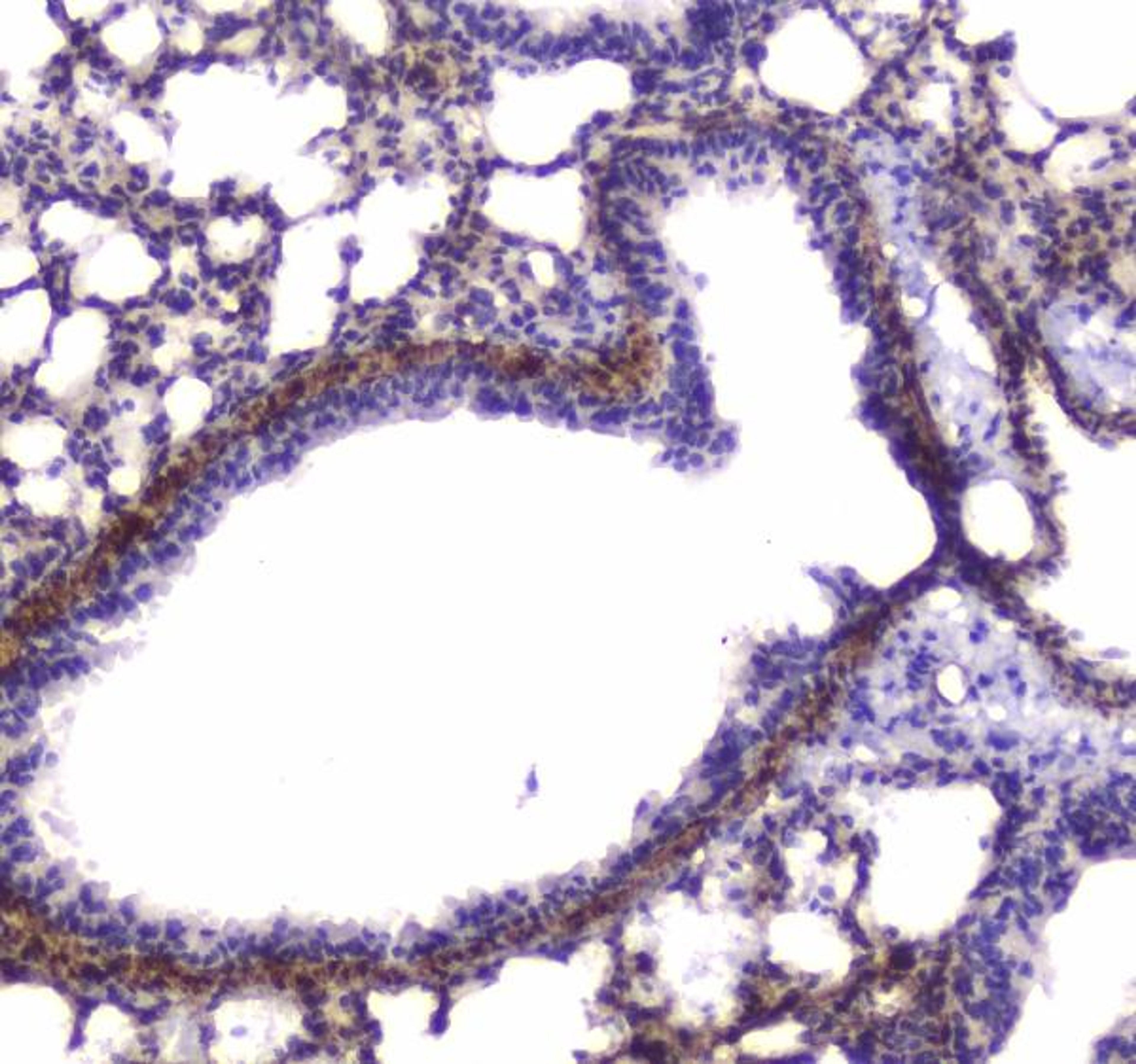
Anti-Myosin light chain kinase MYLK Rabbit Monoclonal AntibodyManufacturerBoster BioCatalog NumberM01697HostRabbit
Anti-Myosin light chain kinase/MYLK Antibody Picoband™ManufacturerBoster BioCatalog NumberA01697-2HostRabbit
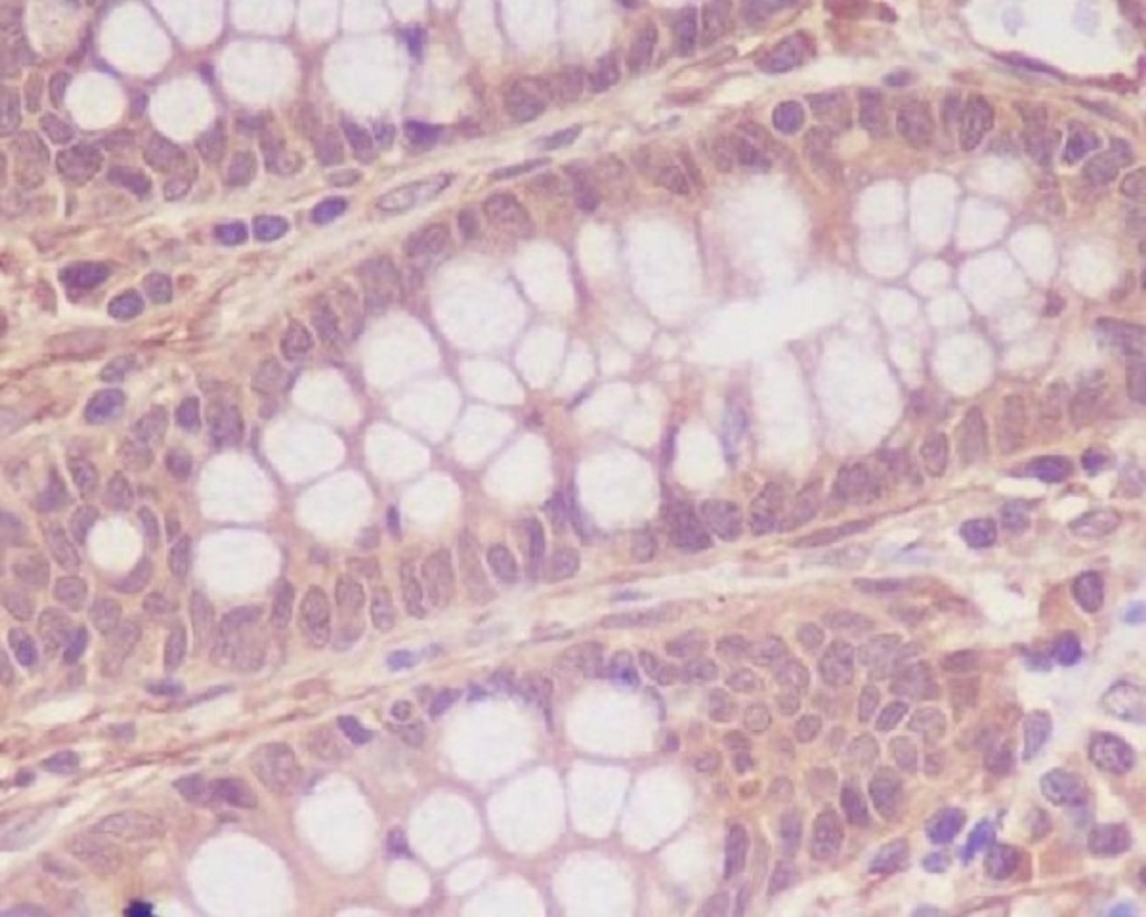
Anti-Myosin Phosphatase/PPP1R12A Antibody Picoband™ManufacturerBoster BioCatalog NumberPB9737HostRabbit
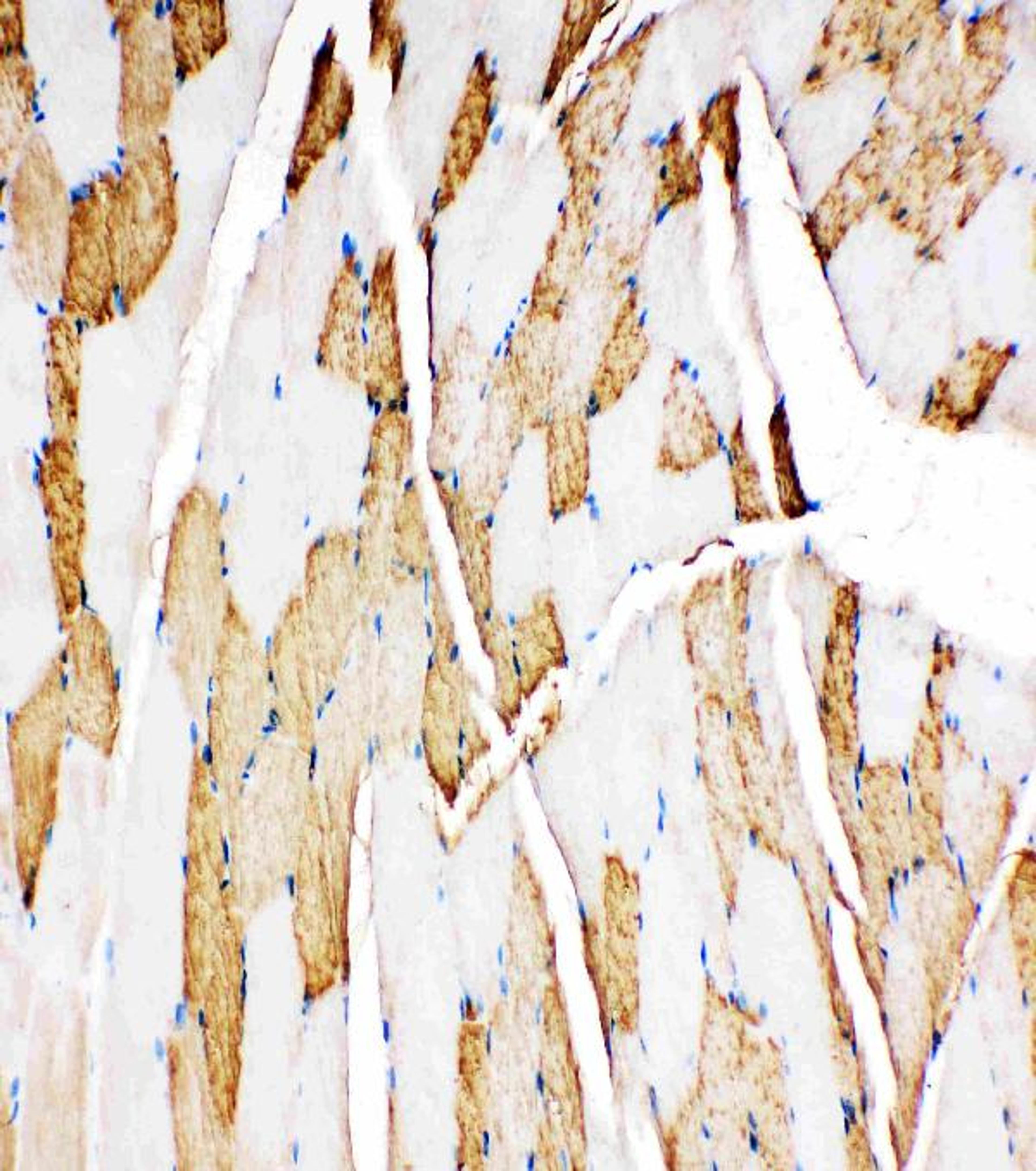
Anti-Myosin(Skeletal, Fast) MYH2 Antibody (Monoclonal, MY-32)ManufacturerBoster BioCatalog NumberMA1063HostMouse
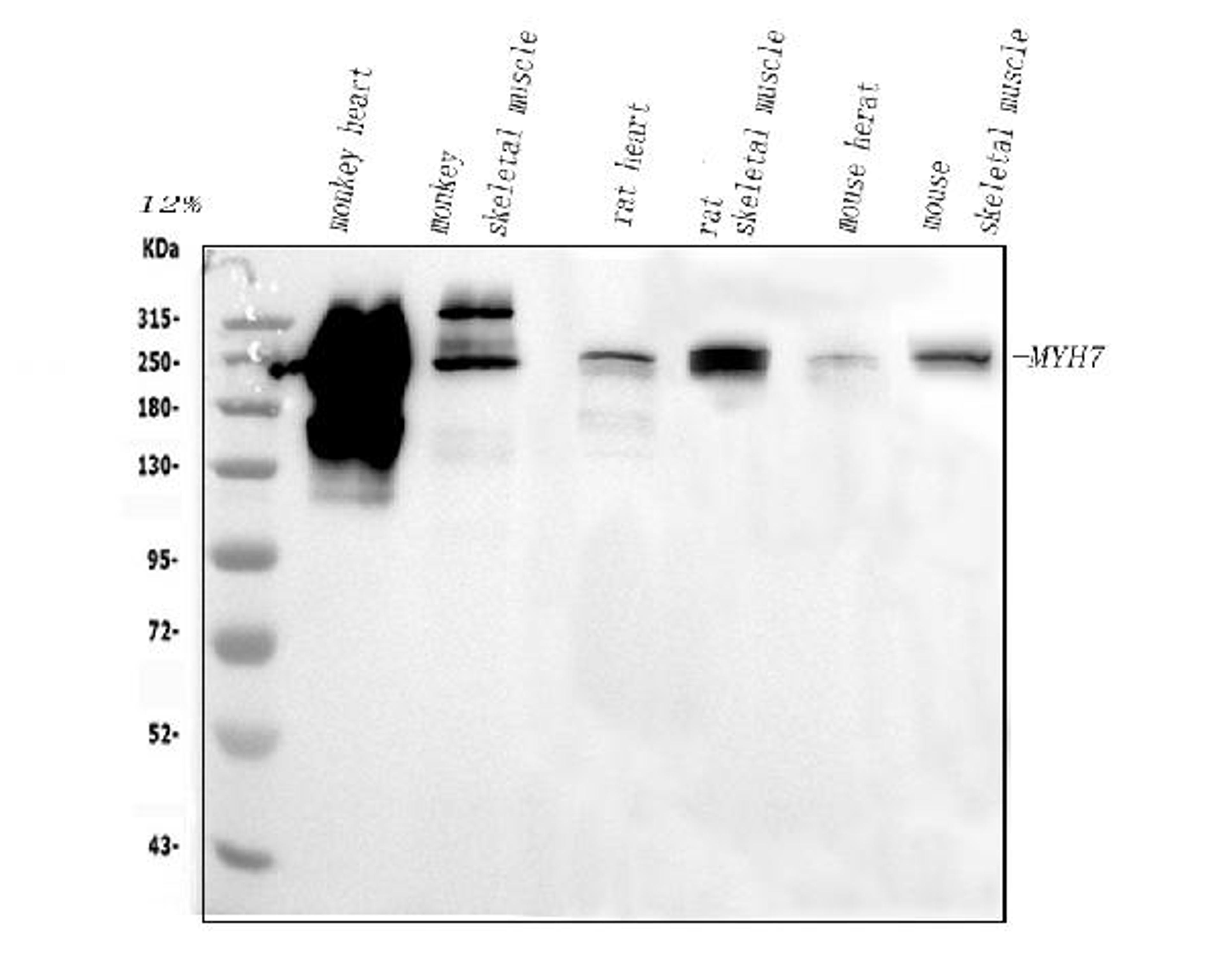
Anti-Myosin(Skeletal, Slow) Myh7 Antibody (Monoclonal, NOQ7.5.4D)ManufacturerBoster BioCatalog NumberMA1064HostMouse