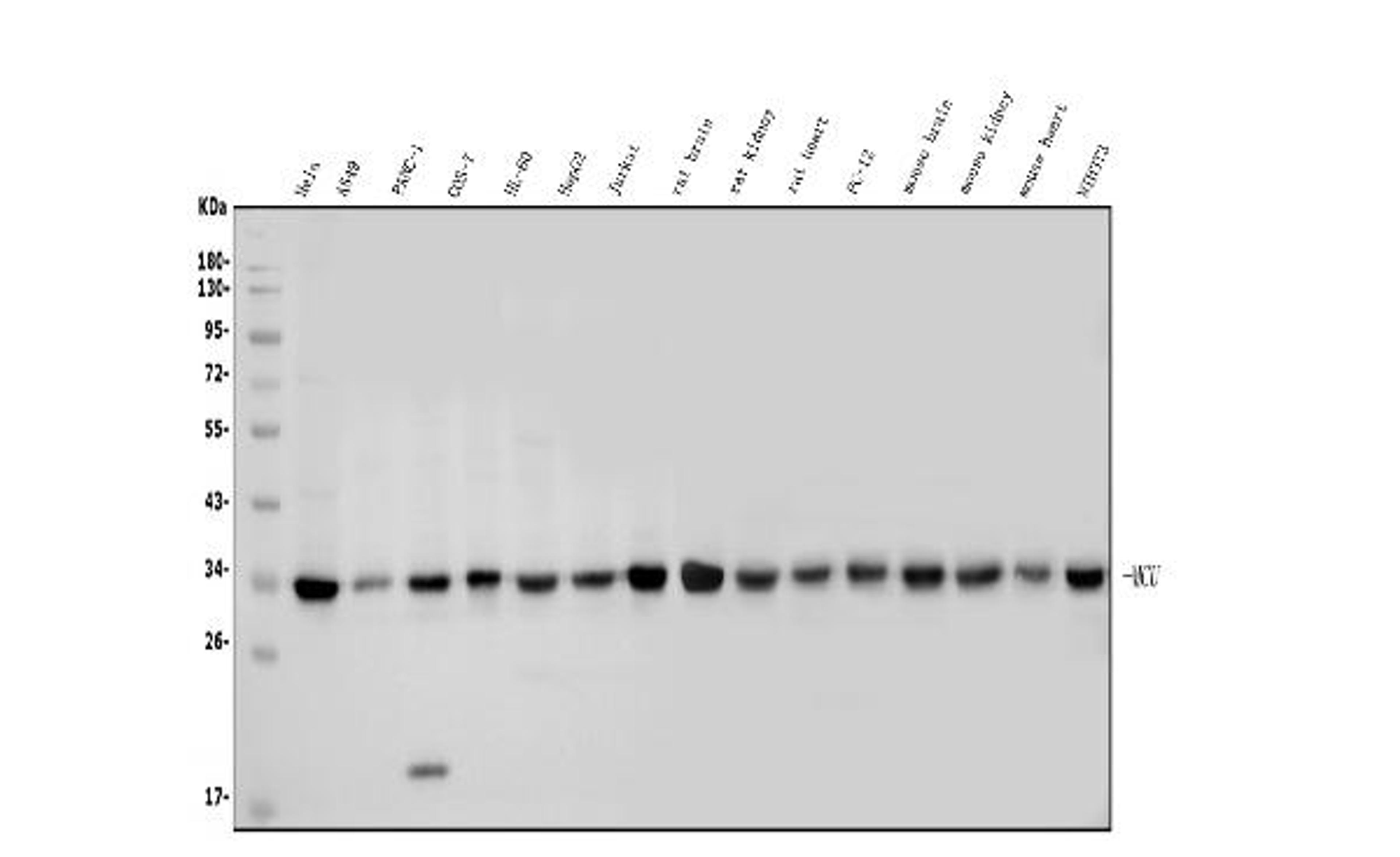
Anti-Maxi Potassium channel alpha/KCNMA1 Antibody Picoband™ManufacturerBoster BioCatalog NumberPB9227HostRabbit