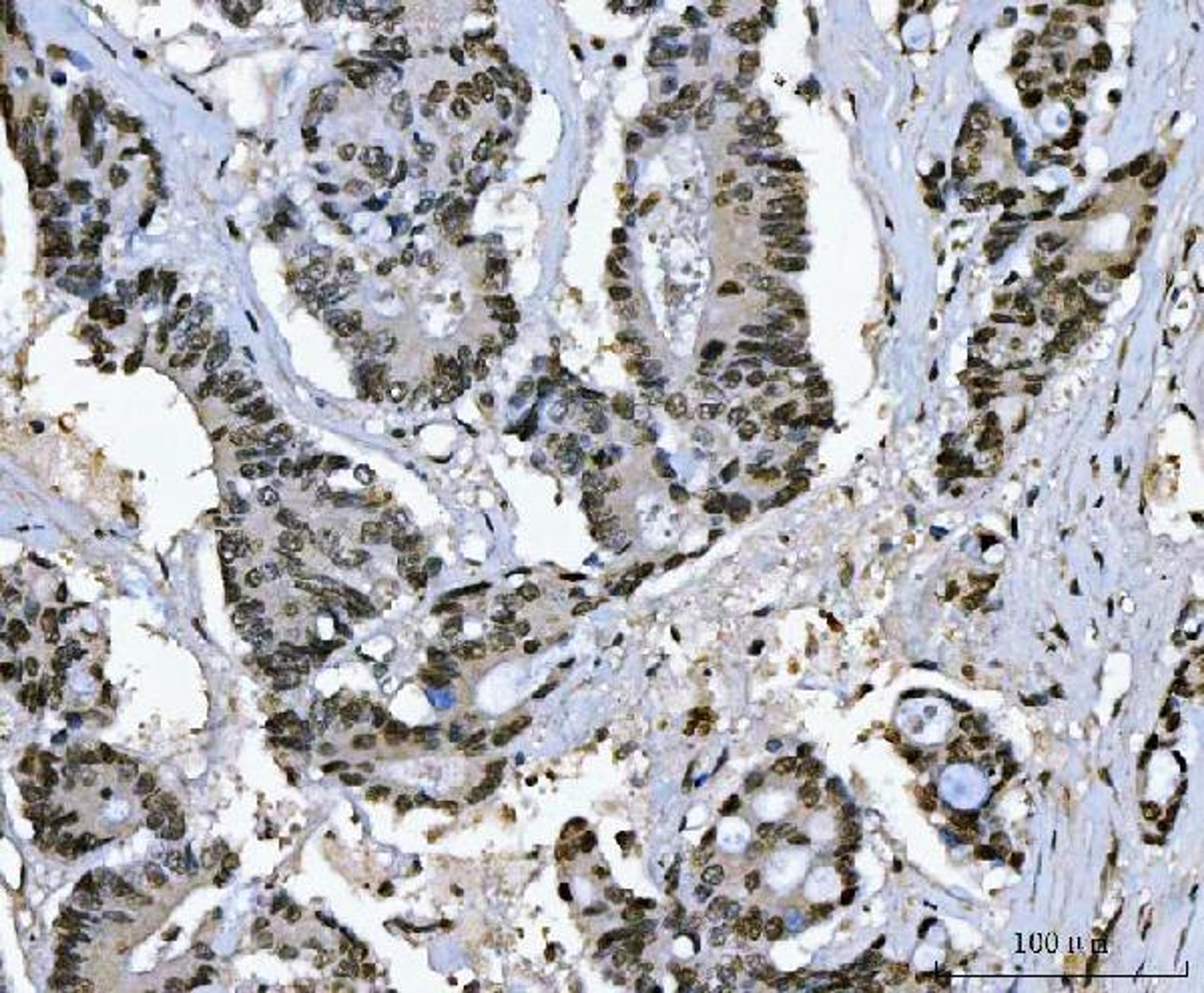
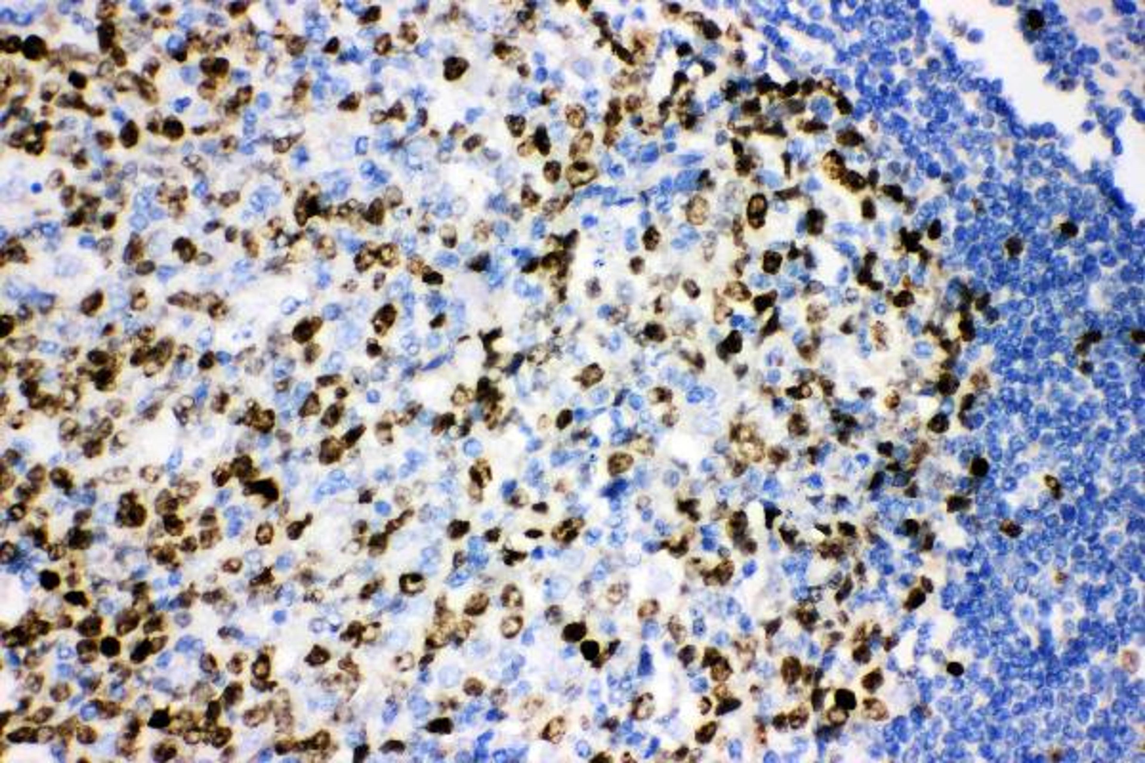
Anti-Laminin beta 1 LAMB1 Rabbit Monoclonal AntibodyManufacturerBoster BioCatalog NumberM03894HostRabbit