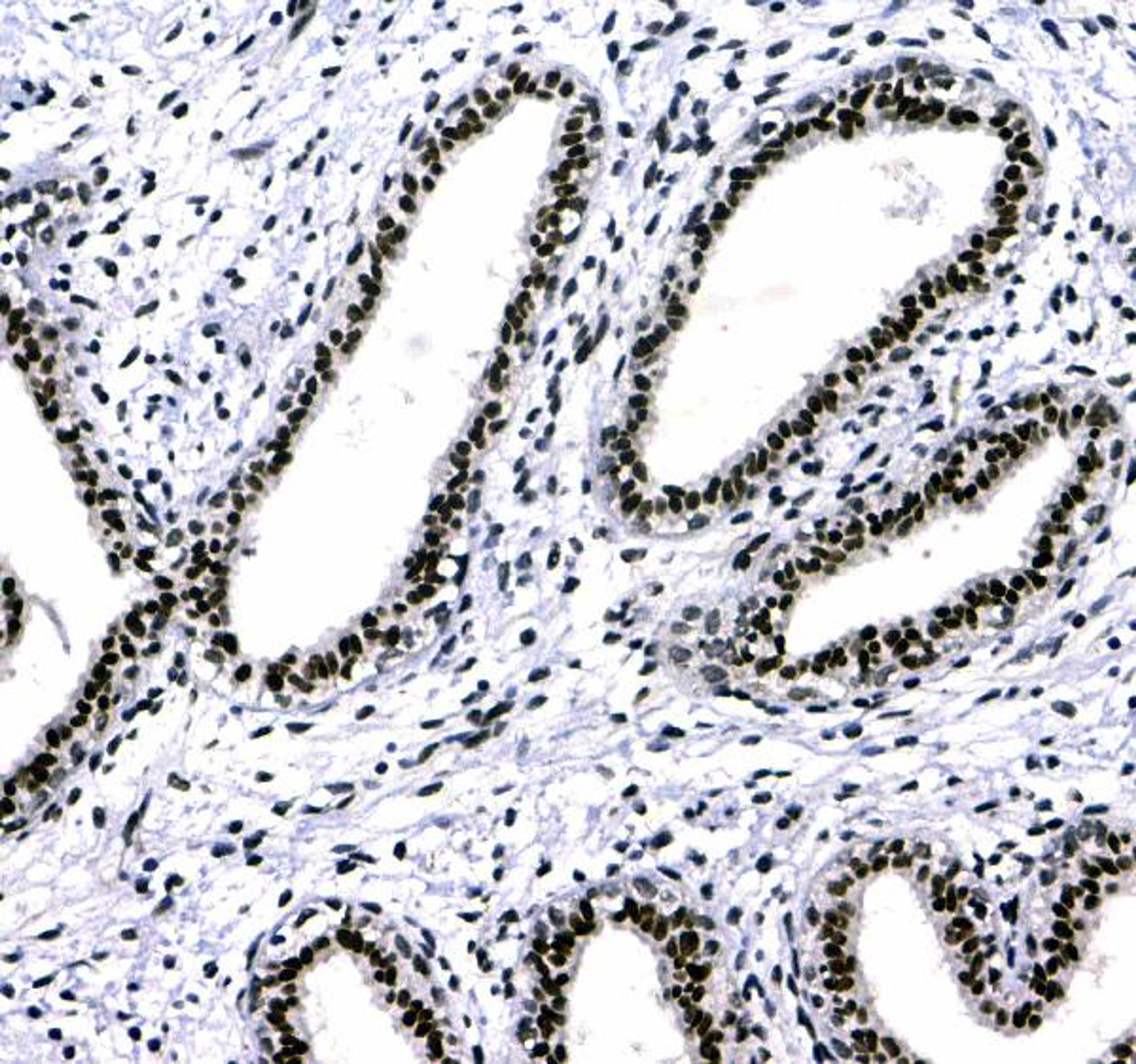
Anti-HNF-4-alpha Antibody Picoband™ (monoclonal, 6C8E9)ManufacturerBoster BioCatalog NumberM00389-2HostMouse
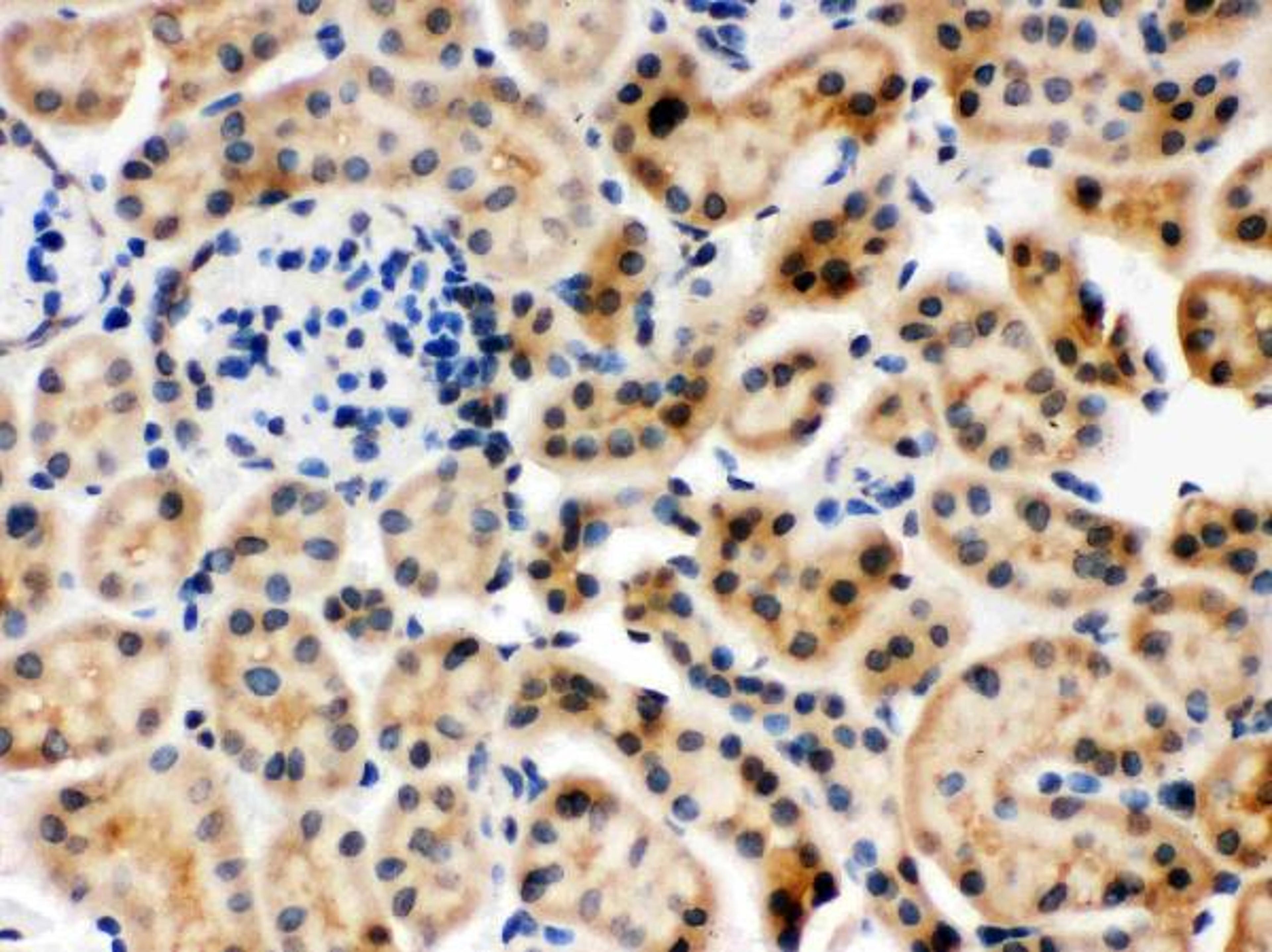
Anti-HSC70 Interacting Protein HIP Rabbit Monoclonal AntibodyManufacturerBoster BioCatalog NumberM05692-1HostRabbit
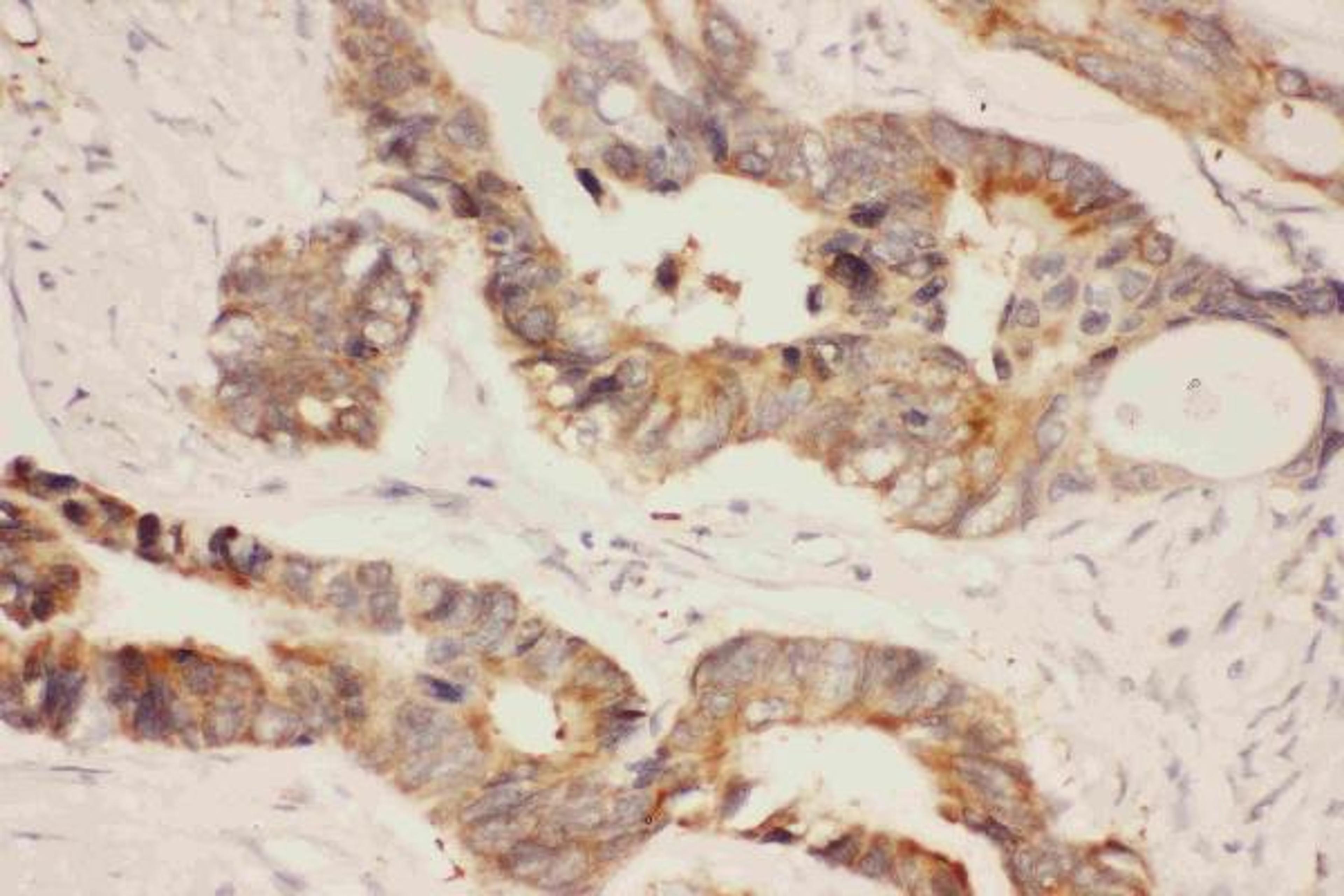
Anti-Hsp90 alpha HSP90AA1 Rabbit Monoclonal AntibodyManufacturerBoster BioCatalog NumberM01103HostRabbit
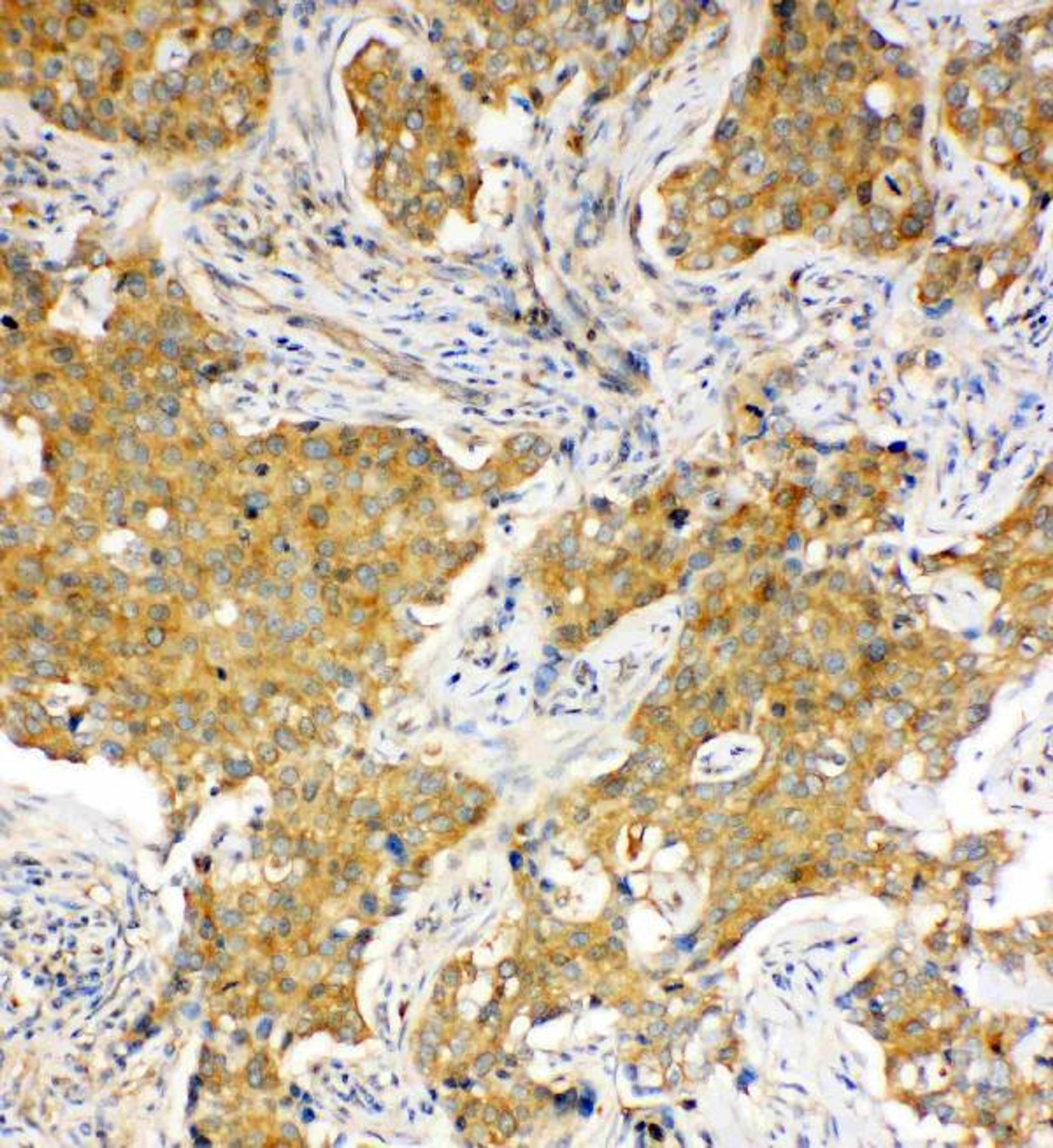
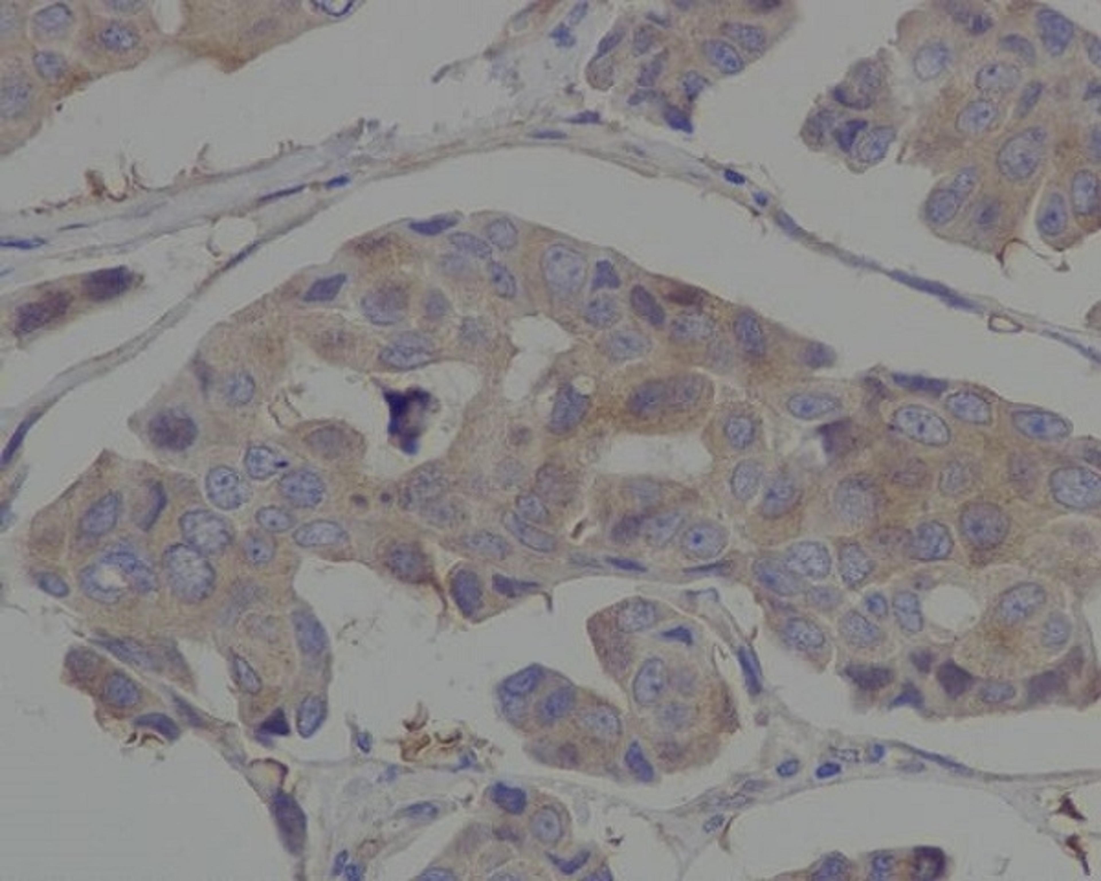
Anti-Hsp90 alpha HSP90AA1 Rabbit Monoclonal AntibodyManufacturerBoster BioCatalog NumberM01103-1HostRabbit