Anti-Alanine Transaminase/Gpt Antibody Picoband™ManufacturerBoster BioCatalog NumberA01638-1HostRabbit
Anti-Alcohol Dehydrogenase Rabbit Monoclonal AntibodyManufacturerBoster BioCatalog NumberM06473-1HostRabbit
Anti-alpha 1 Catenin/CTNNA1 Antibody Picoband™ (monoclonal, 10I2)ManufacturerBoster BioCatalog NumberM01617-1HostMouse
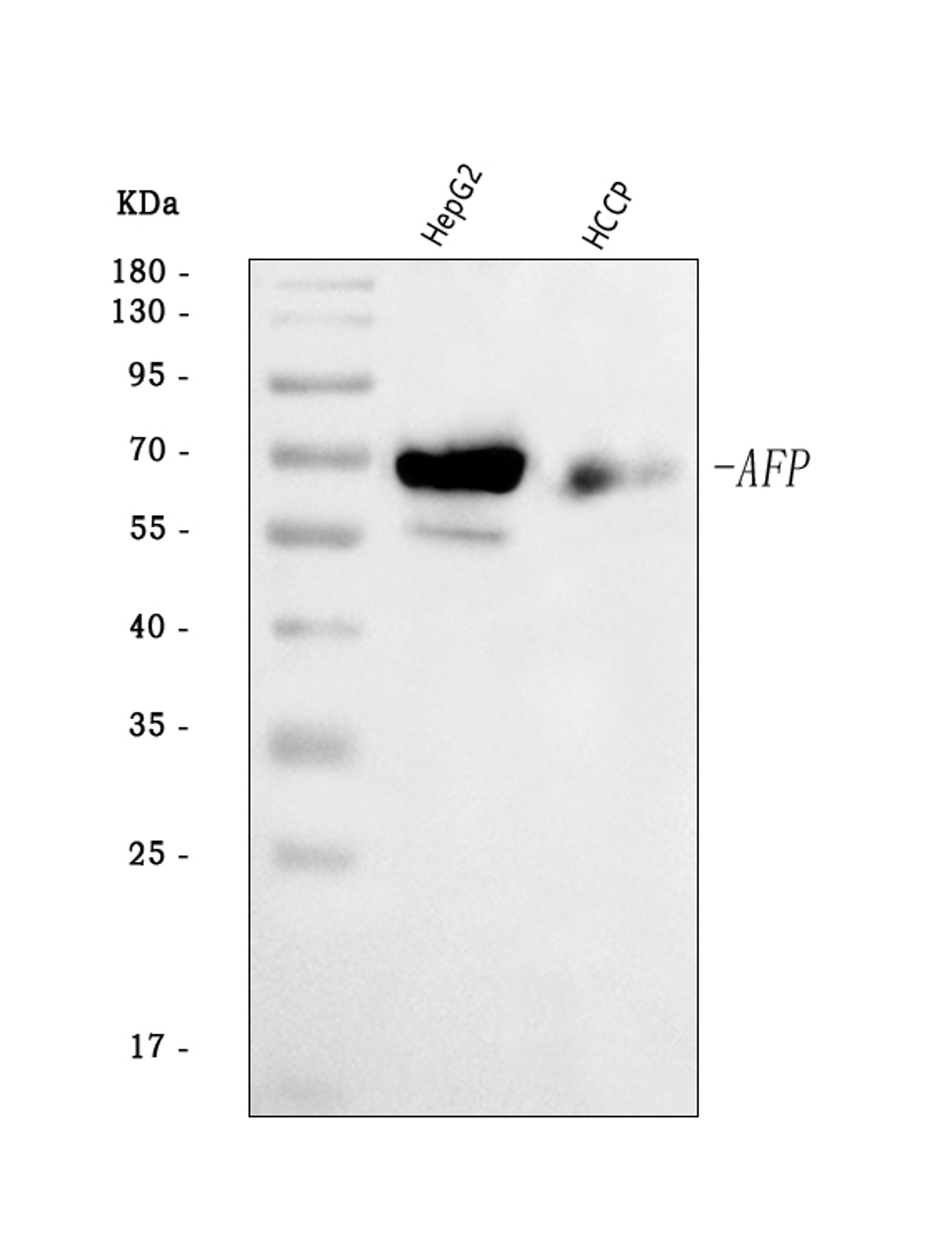
Anti-alpha 1 Fetoprotein/AFP Antibody Picoband™ManufacturerBoster BioCatalog NumberA00522-3HostRabbit
Anti-Alpha 1 microglobulin/AMBP Antibody Picoband™ManufacturerBoster BioCatalog NumberA02419-3HostRabbit
Anti-alpha 1 Sodium Potassium ATPase/ATP1A1 Antibody Picoband™ManufacturerBoster BioCatalog NumberPB9482HostRabbit
Anti-alpha 1 Spectrin Rabbit Monoclonal AntibodyManufacturerBoster BioCatalog NumberM03376-1HostRabbit
Anti-alpha 1d Adrenergic Receptor/ADRA1A Antibody Picoband™ManufacturerBoster BioCatalog NumberPB9752HostRabbit
Anti-Alpha 2 Antiplasmin/SERPINF2 Antibody Picoband™ManufacturerBoster BioCatalog NumberA04248-2HostRabbit