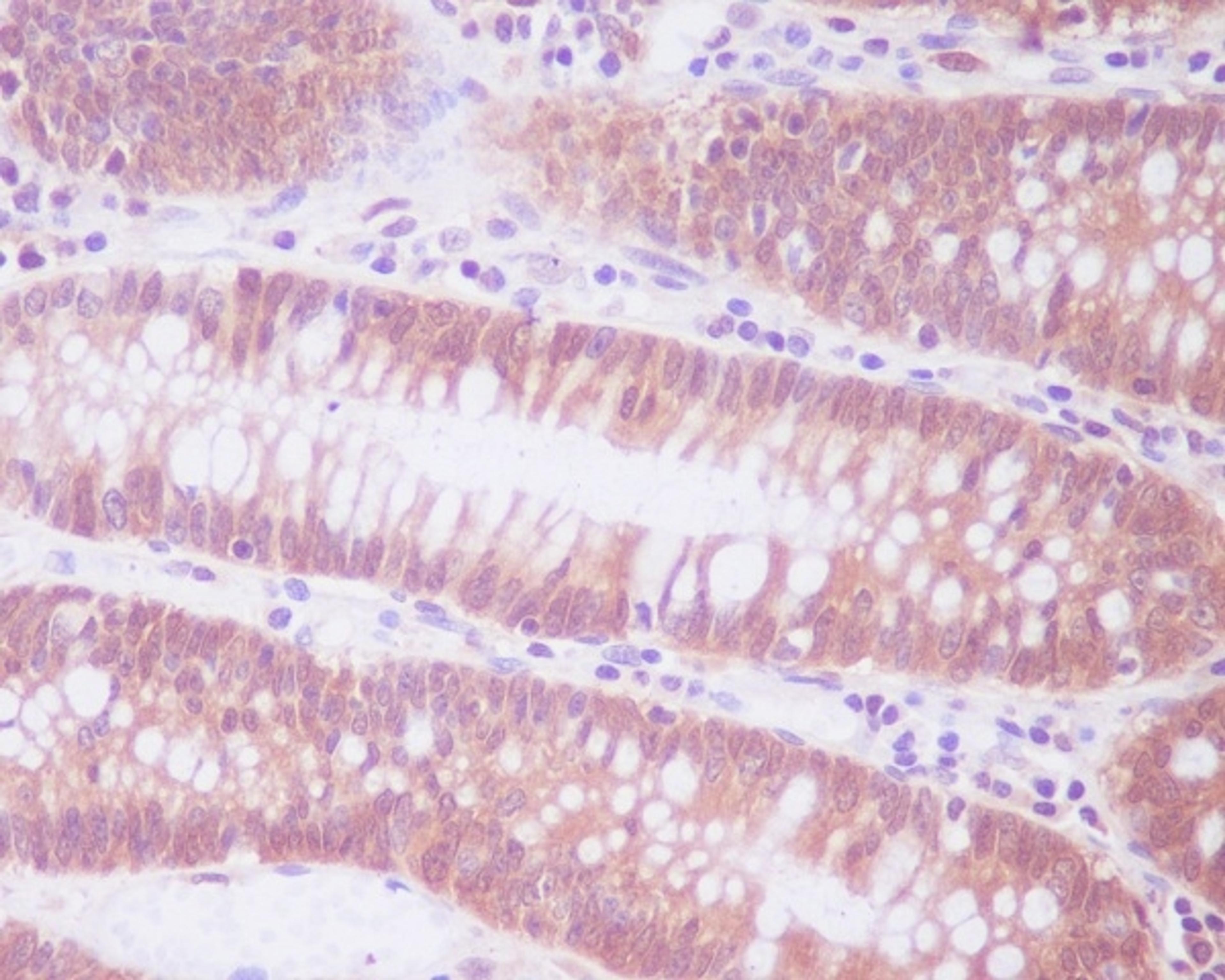
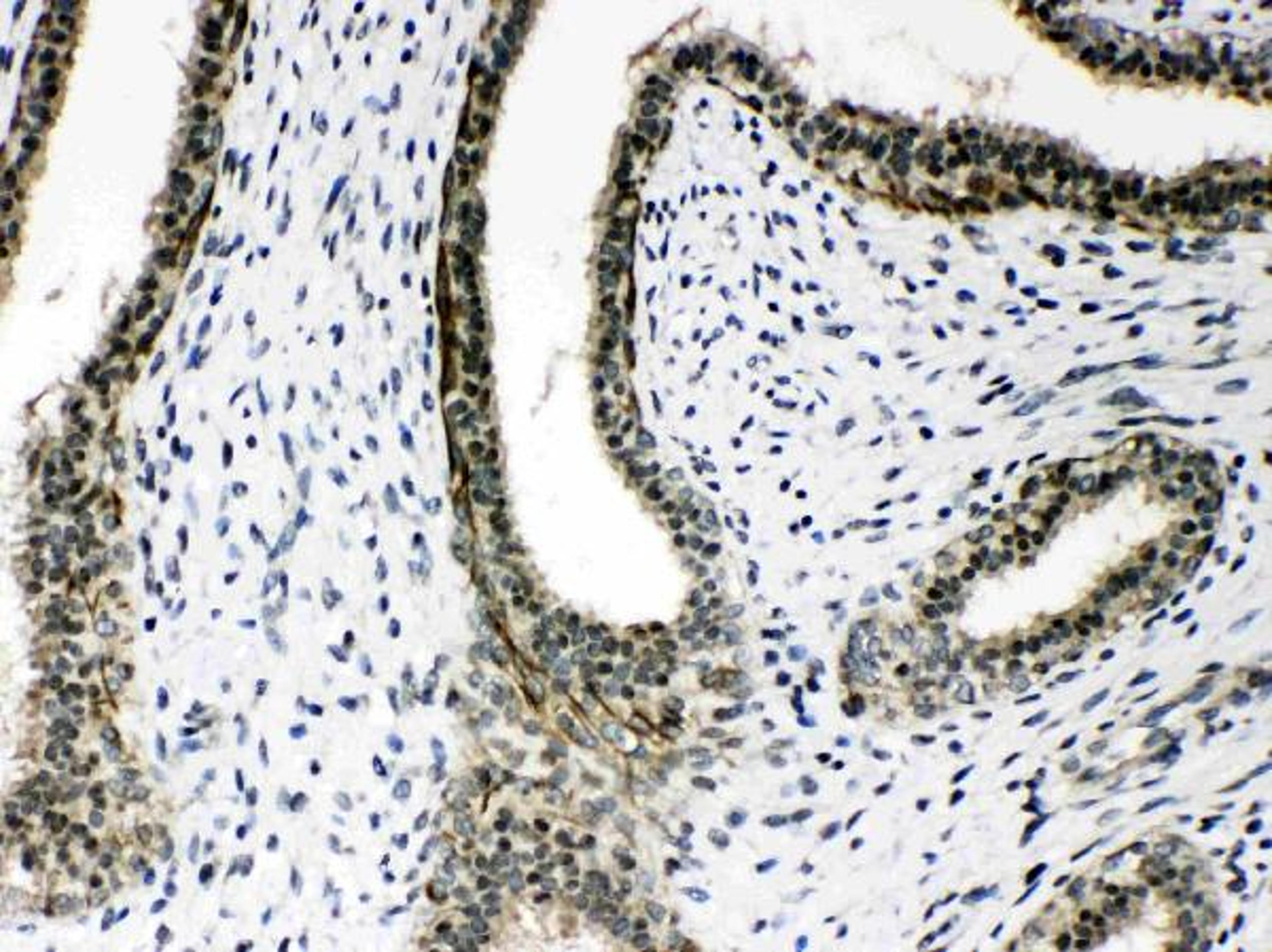
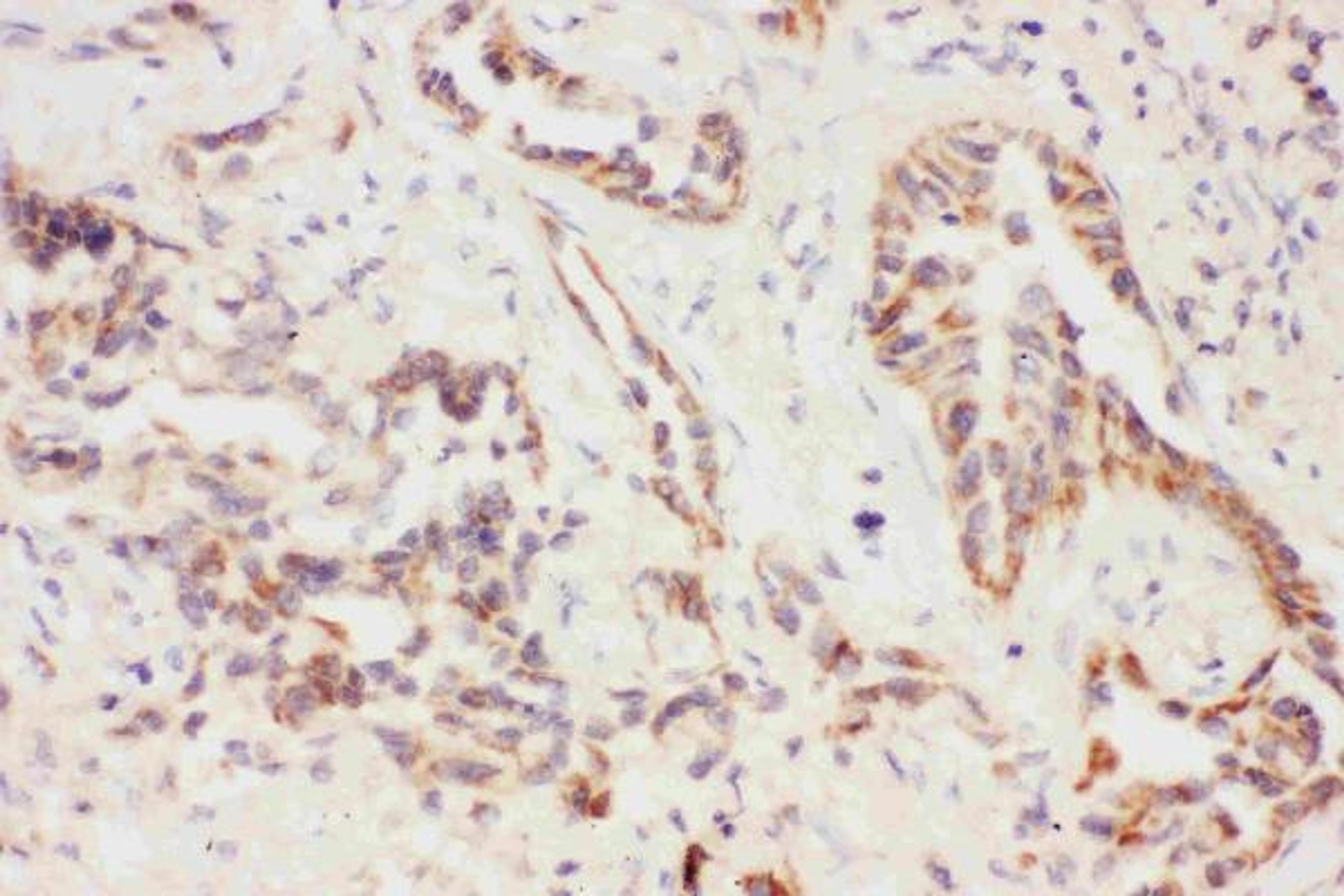
Anti-ENO1/Alpha Enolase Rabbit Monoclonal AntibodyManufacturerBoster BioCatalog NumberM01250HostRabbit