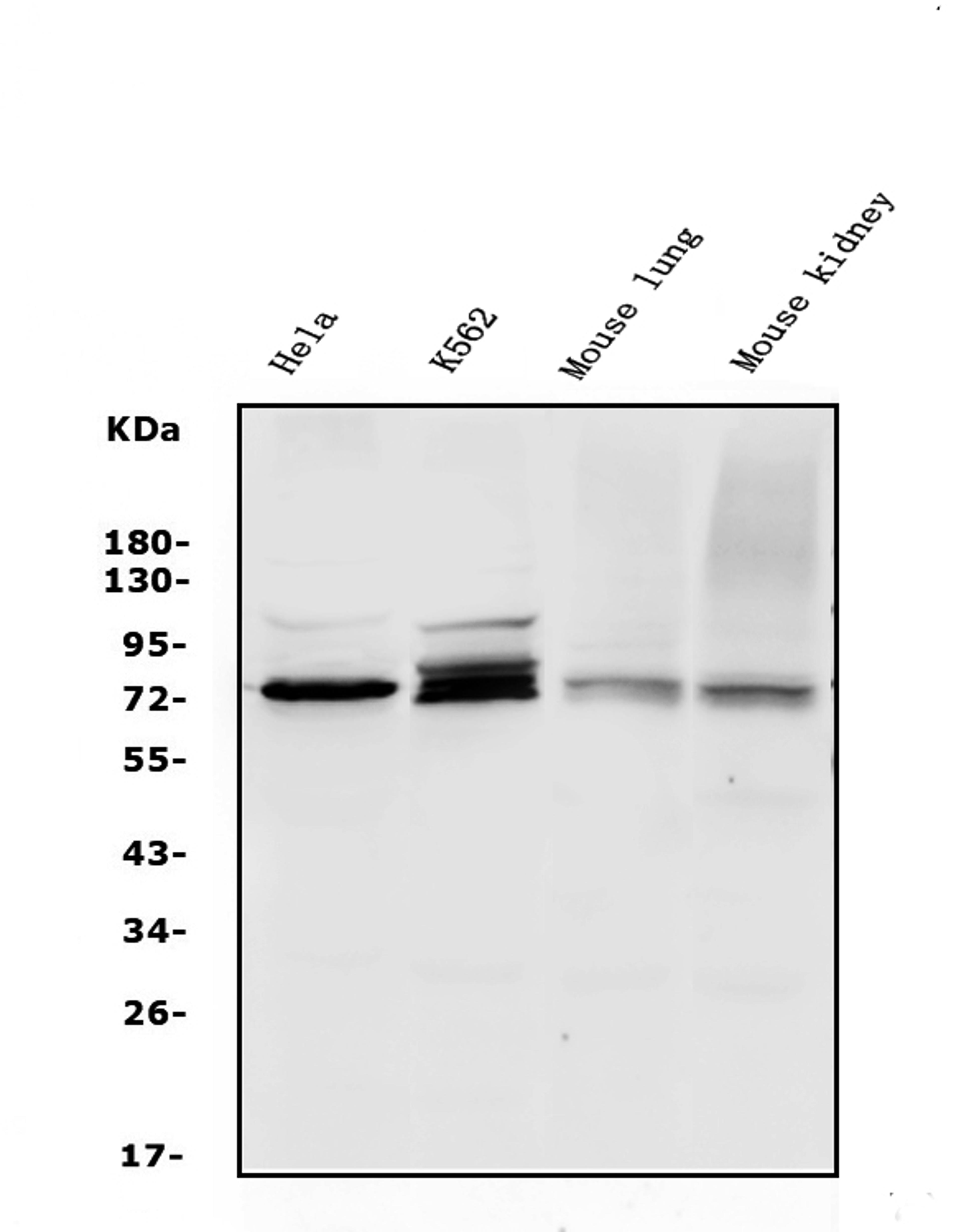
Anti-Werner's syndrome helicase WRN/WRN Antibody Picoband™ManufacturerBoster BioCatalog NumberPB10107HostRabbit
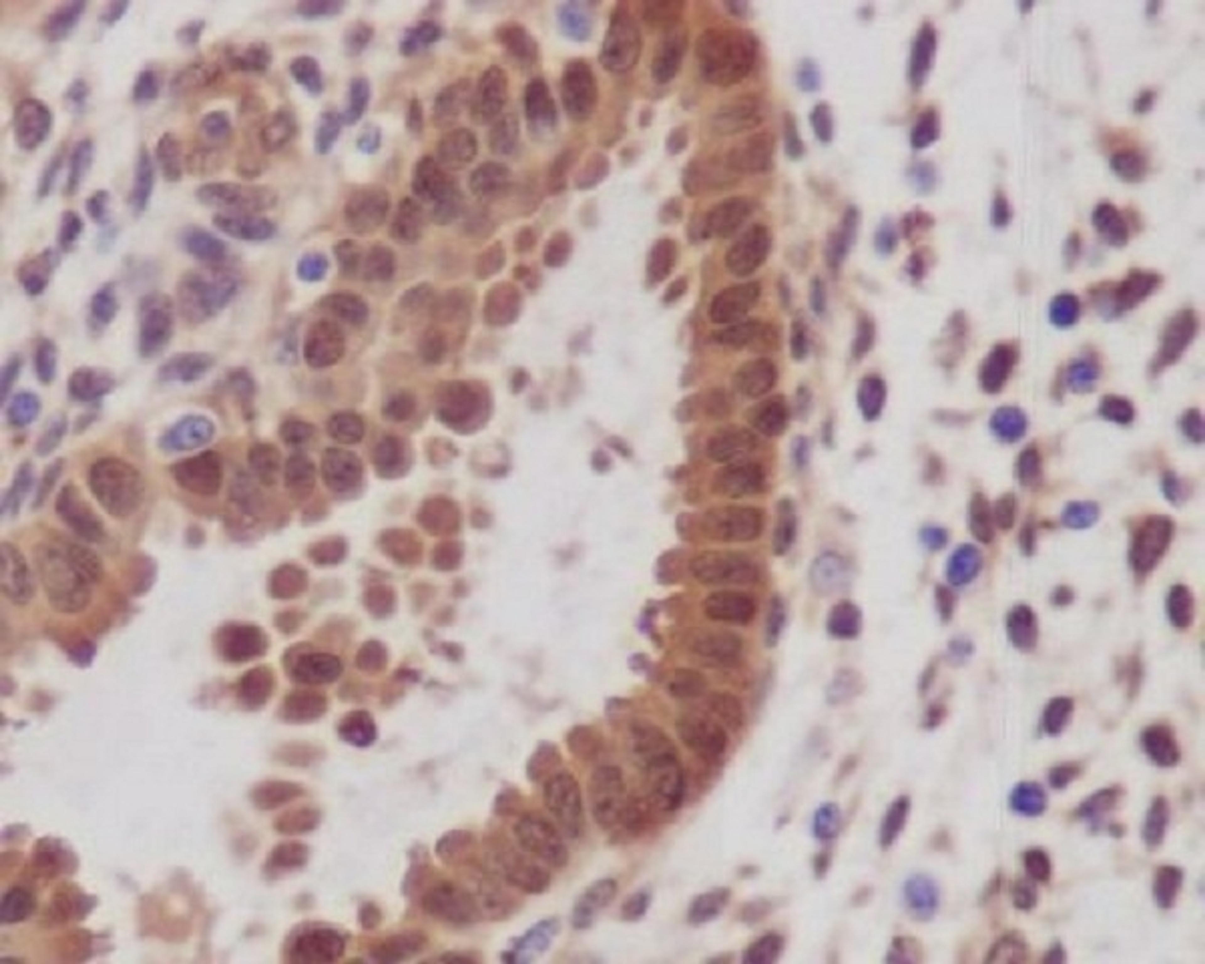
Anti-Wilms Tumor Protein WT1 Rabbit Monoclonal AntibodyManufacturerBoster BioCatalog NumberM00199-1HostRabbit